症例詳細
Case detail
マウスピース矯正中のクリーニング pmtc
治療症例の内容
- 診療科目
- 治療カテゴリ
- 患者様
- 30代女性
- 治療期間
- 1日
- 治療回数
- 1回
- 治療計画
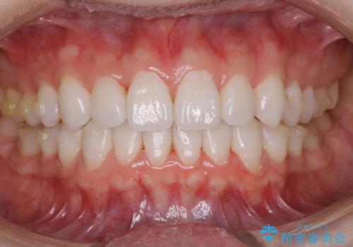
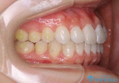
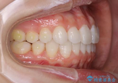
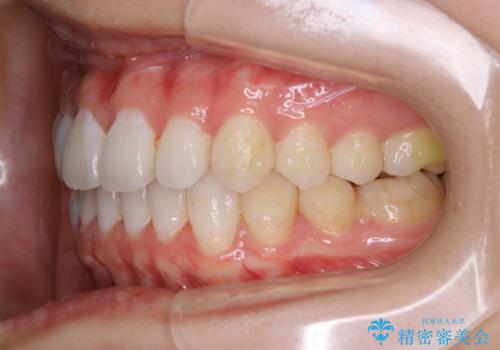
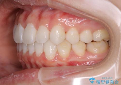
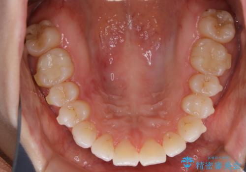
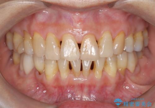
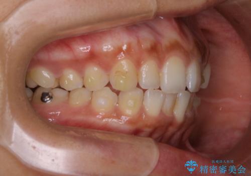
- インビザライン(マウスピース矯正)の治療中にステインが気になり、クリーニング希望とのことでした。
アタッチメントの周囲などに、ステインの付着や、プラークがみられたためPMTC(自費クリーニング)30分コースを行いました。
- 費用(概算)
- 5千円+tax費用は治療当時の料金となります
治療について
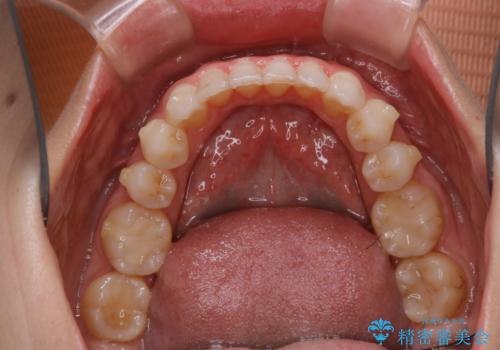
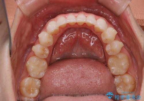
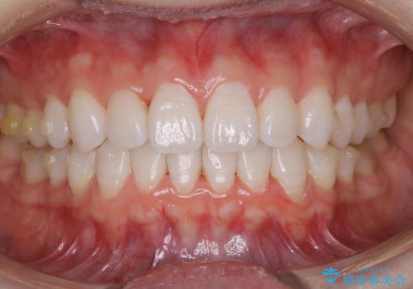
インビザラインで矯正治療中に、クリーニングを行ったbeforeafter写真です。
自費クリーニング(pmtc)30分コース¥5000+tax
矯正治療中は、虫歯や歯周病のリスクが高くなったり、長い時間マウスピースを着用することにより、ステイン(着色)がしやすくなることがあります。
そのため矯正治療中は、(マウスピース矯正・ワイヤー矯正共に)クリーニングを行い、こまめに汚れを取り除き、お口のケアをすることが大切です。
担当歯科衛生士
表参道しらゆり歯科 DH西澤
PMTCの注意事項(リスク・副作用など)
- 歯を白くする目的の施術ではありません
- 保険適用外となります
当サイトの内容、テキスト、画像等の無断転載、複製、複写、盗用を固く禁じます。










