症例詳細
Case detail
PMTC 歯のお掃除
治療症例の内容
- 診療科目
- 治療カテゴリ
- 患者様
- 20代男性
- 治療期間
- 1日
- 治療回数
- 1回
- 治療計画
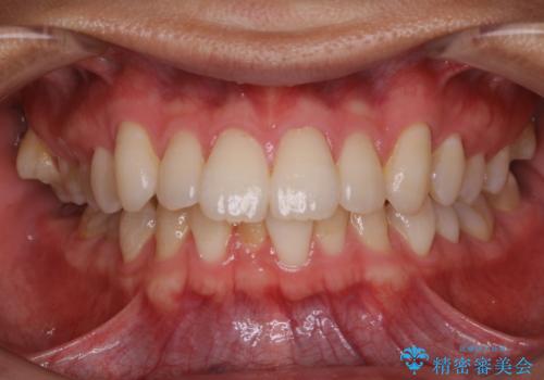
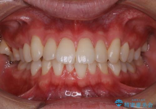
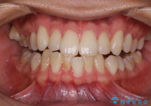
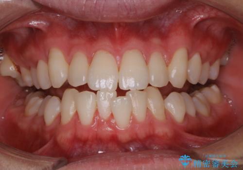
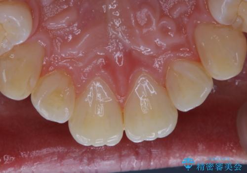
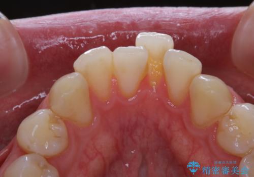
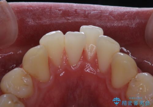
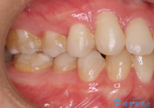
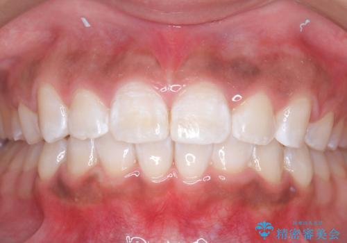
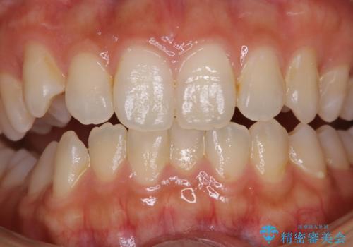
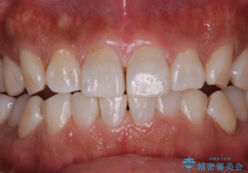
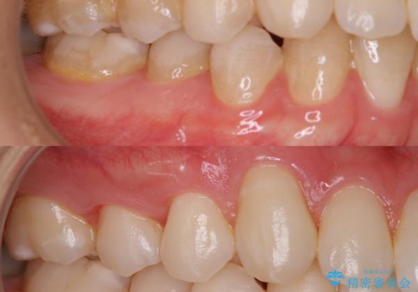
- 歯科医院への来院は子供の頃以来なく、痛みやしみたりの症状はないが、全体的に清掃したいとのことで来院されました。
- 費用(概算)
- 1万円+tax費用は治療当時の料金となります
治療について
久しぶりの歯科医院とのことで、全体的なチェック・全体的なクリーニング(PMTC60分コース)を行いました。
PMTCとは、【プロフェッショナル・メカニカル・ティース・クリーニング】です。
毎日の歯磨きだけでは、落としきれない汚れや、プラークの元となるバイオフィルムという細菌の膜を専門の機械や材料を使用して除去することです。これらの処置を行うことで、虫歯・歯周病・口臭予防などになります。
また、汚れを除去することでご自身本来の歯の表面となり、全体的に明るい印象になります。
担当歯科衛生士
表参道しらゆり歯科 DH西澤
PMTCの注意事項(リスク・副作用など)
- 歯を白くする目的の施術ではありません
- 保険適用外となります
当サイトの内容、テキスト、画像等の無断転載、複製、複写、盗用を固く禁じます。










