症例詳細
Case detail
PMTCで前歯のクリーニング
治療症例の内容
- 診療科目
- 治療カテゴリ
- 患者様
- 20代男性
- 治療期間
- 1日
- 治療回数
- 1回
- 治療計画
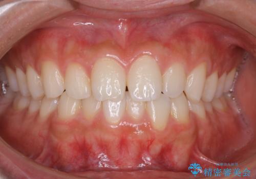
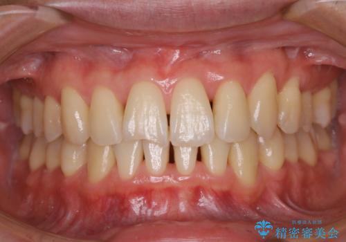
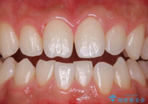
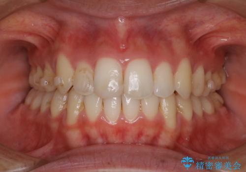
- 前歯をきれいにしたいとのことで来院されました。歯科医院でのクリーニングは半年ぶりでしたが、今回は前歯をメインにクリーニング希望だったためPMTCの30分コースを行いました。
- 費用(概算)
- 5千円+tax費用は治療当時の料金となります
治療について
PMTC(歯科衛生士による専門的クリーニング)にはコースがあります。
前歯をメインに行う30分5000円+taxと全体的に行う60分10000+taxコースです。お口の状態や、ご希望により、担当衛生士と相談をしてからの施術となります。
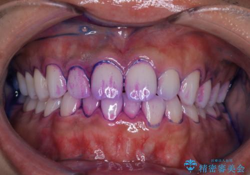
ぱっと見しっかり磨けているように見えますが、染だしをしてみると歯ぐきの境目などに磨き残しがあることがわかります。定期的に染め出しを行い、日々のブラッシングの癖や磨き残しを把握することで、改善するべきポイントが明確に発見されます。
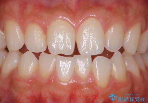
今回は、前歯メイン希望とのことでしたが、歯石やプラークが薄い付着だったため、30分コースの中で全体的クリーニングが行えました。
状態次第では、60コースでも全ての汚れが取り切れない場合もあります。
担当歯科衛生士
表参道しらゆり歯科 DH西澤
PMTCの注意事項(リスク・副作用など)
- 歯を白くする目的の施術ではありません
- 保険適用外となります
当サイトの内容、テキスト、画像等の無断転載、複製、複写、盗用を固く禁じます。






