症例詳細
Case detail
PMTC60分コース
治療症例の内容
- 診療科目
- 治療カテゴリ
- 患者様
- 20代女性
- 治療期間
- 1日
- 治療回数
- 1回
- 治療計画
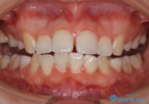
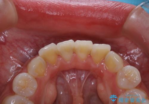
- 子供の頃以来のかなり久しぶりの歯科医院への来院とのことで、プラーク・歯石がべっとり付着していました。
- 費用(概算)
- 1万円+tax費用は治療当時の料金となります
治療について
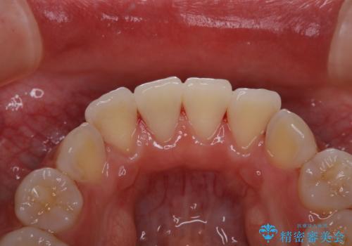
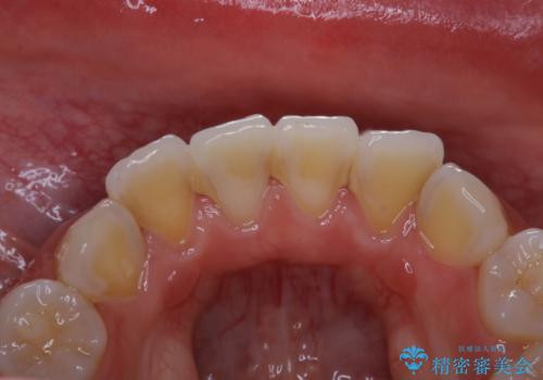
古くからの磨き残しや、歯石などにより、歯肉に炎症がみられ、かなり汚れが多く付着していました。PMTC60分コースで徹底的に汚れをおとしました。施術後の歯肉に出血が見られますが、次第におさまります。
担当歯科衛生士
表参道しらゆり歯科 DH西澤
PMTCの注意事項(リスク・副作用など)
- 歯を白くする目的の施術ではありません
- 保険適用外となります
当サイトの内容、テキスト、画像等の無断転載、複製、複写、盗用を固く禁じます。








