症例詳細
Case detail
PMTC 歯科衛生士による専門的クリーニング
治療症例の内容
- 診療科目
- 治療カテゴリ
- 患者様
- 30代男性
- 治療期間
- 1日
- 治療回数
- 1回
- 治療計画
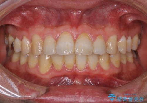
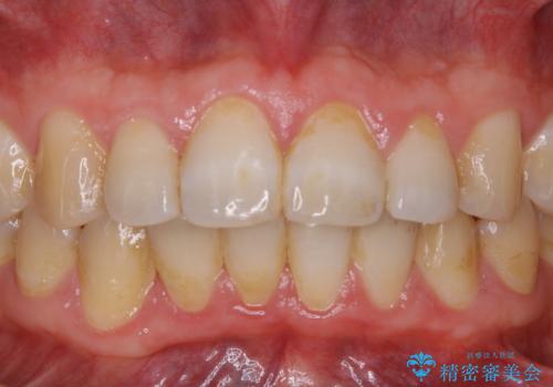
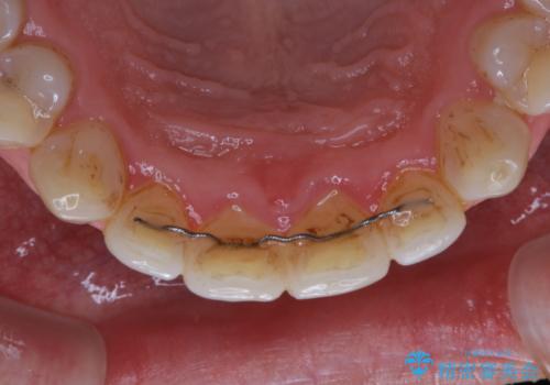
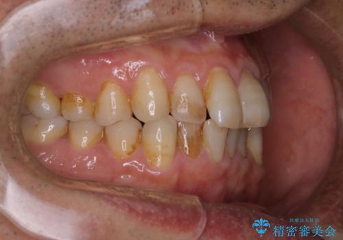
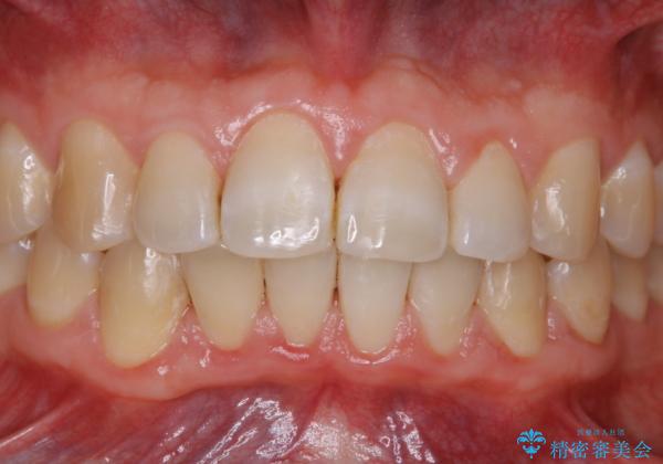
- 引っ越しをしたため、かかりつけ医を探していてクリーニングをしたいとのことで来院されました。痛みやしみるなどの症状はないが、歯科がだいぶ久しぶりとのことでした。
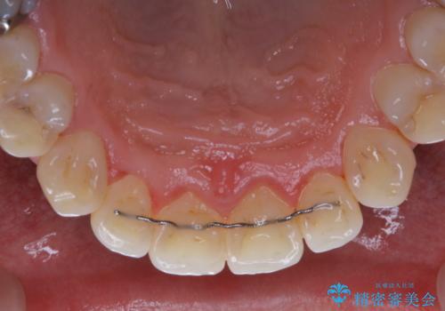
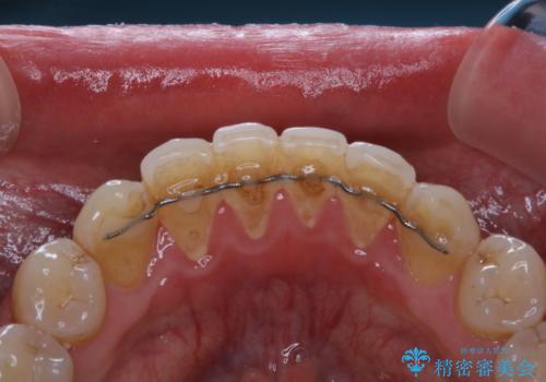
全体的に、歯石やプラーク(細菌の塊)が付着していたため、PMTC(自費クリーニング)の60分コースを行いました。
- 費用(概算)
- 1万円+tax費用は治療当時の料金となります
治療について
全体的にプラークや歯石が付着していて、歯肉炎が見られました。
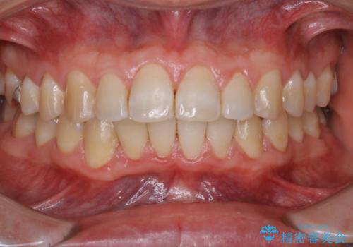
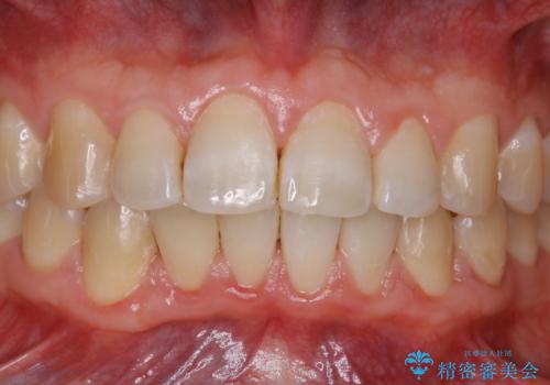
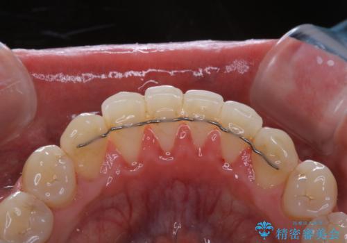
状態に合った専門的な器具を使用して、歯質や歯肉へのダメージを抑えながらPMTC(自費クリーニング)60分コースを行いました。矯正治療後の保定装置がワイヤーの場合、フロス・糸ようじが通せないこと、歯ブラシがしずらいことなどにより、歯石プラークなどが付着しやすくなります。そのため専門的な器具による細かいケアを行うことがとても大切です。
担当歯科衛生士
表参道しらゆり歯科 DH西澤
PMTCの注意事項(リスク・副作用など)
- 歯を白くする目的の施術ではありません
- 保険適用外となります
当サイトの内容、テキスト、画像等の無断転載、複製、複写、盗用を固く禁じます。








