症例詳細
Case detail
結婚式前の歯のクリーニング PMTC
治療症例の内容
- 診療科目
- 治療カテゴリ
- 患者様
- 20代女性
- 治療期間
- 1日
- 治療回数
- 1回
- 治療計画
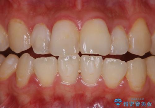
- 1か月後に結婚式があるため、綺麗にしたいとのことで来院されました。
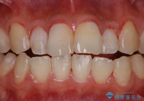
PMTC(自費クリーニング)60分コースを行いました。
- 費用(概算)
- 1万円+tax費用は治療当時の料金となります
治療について
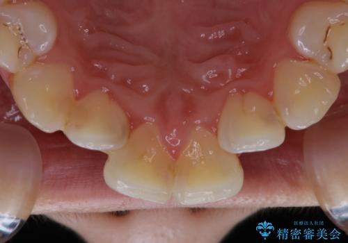
歯面がバイオフィルム(細菌の塊)や歯石で覆われていました。
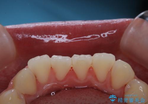
PMTC(自費クリーニング)で、専門的な器具を使用し、歯石を砕き、バイオフィルムを剥がし、トリートメントまで行いました。歯肉が腫れていたため、バイオフィルムや歯石を取り除いたことにより、施術後の歯肉から出血が見られます。ただし、出血は次第におさまります。
PMTC(自費クリーニング)はホワイトニングではないため、歯が白くなることはありませんが、徹底的に汚れを除去しますので、ご自身本来の歯面となり、艶がでて明るい印象となります。
担当歯科衛生士
表参道しらゆり歯科 DH西澤
PMTCの注意事項(リスク・副作用など)
- 歯を白くする目的の施術ではありません
- 保険適用外となります
当サイトの内容、テキスト、画像等の無断転載、複製、複写、盗用を固く禁じます。








