症例詳細
Case detail
コーヒーによる着色をpmtcできれいに
治療症例の内容
- 診療科目
- 治療カテゴリ
- 患者様
- 50代女性
- 治療期間
- 1日
- 治療回数
- 1回
- 治療計画
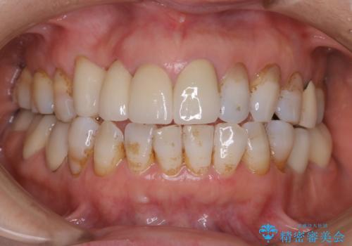
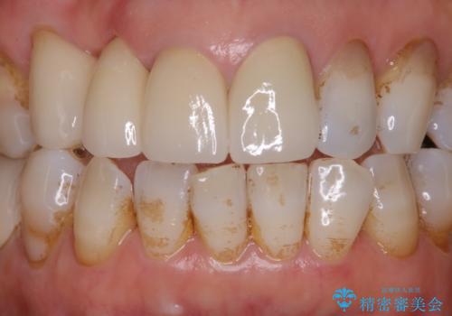
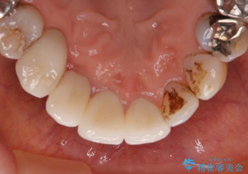
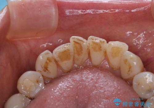
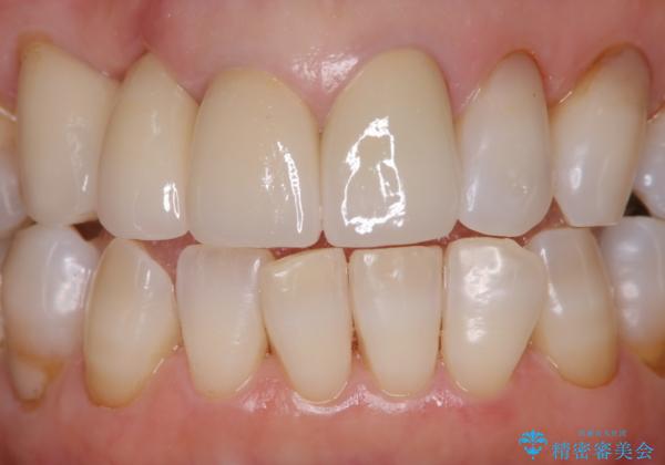
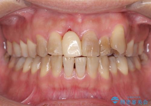
- ブラックコーヒーを毎日飲むため、色がついてきたことが気になるとのことで来院されました。
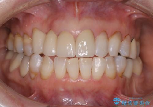
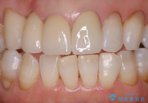
全体的に着色と歯石が見られたためPMTC(自費クリーニング)60分コース1万円+taxを行いました。
- 費用(概算)
- 1万円+tax費用は治療当時の料金となります
治療について
歯の表面にべったりと分厚い歯石があり、その上に着色もついていました。今回は歯石や着色の量が多かったためクリーニングは60分コースで行いました。
歯石がついた歯はザラつきがあるため、着色が付きやすい状態になります。定期的に歯科医院で専門のクリーニングを行い、歯にミネラルを補給し、なめらかにすることで、汚れや着色(ステイン)がつきにくくなります。
担当歯科衛生士
表参道しらゆり歯科 DH西澤
PMTCの注意事項(リスク・副作用など)
- 歯を白くする目的の施術ではありません
- 保険適用外となります
当サイトの内容、テキスト、画像等の無断転載、複製、複写、盗用を固く禁じます。








