症例詳細
Case detail
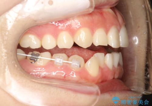
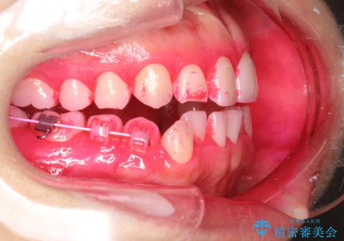
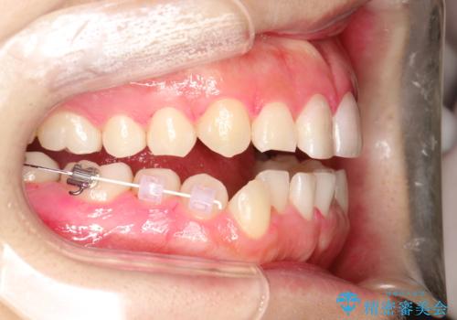
部分矯正中のクリーニング
治療症例の内容
- 診療科目
- 治療カテゴリ
- 患者様
- 20代女性
- 治療期間
- 1日
- 治療回数
- 1回
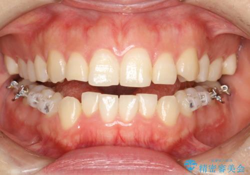
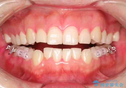
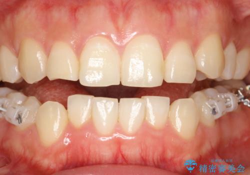
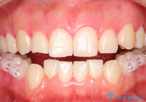
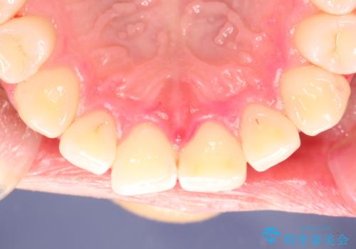
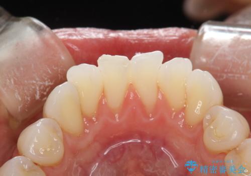
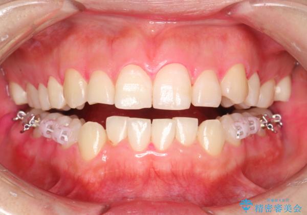
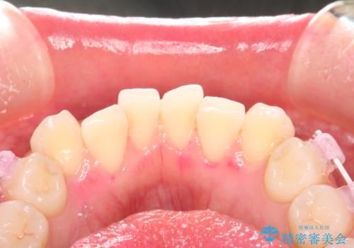
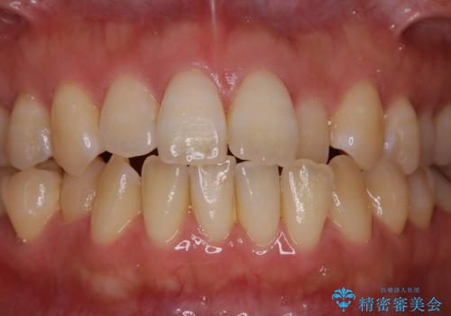
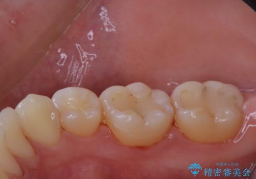
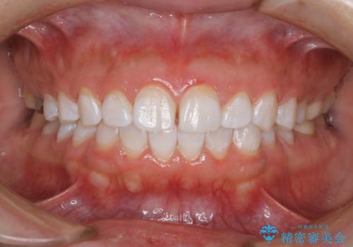
- 治療計画
- 部分矯正中での来院時に、装置の周りや全体的に汚れが見られたためクリーニングのご案内をし、PMTC30分コースを行いました。
- 費用(概算)
- 5千円+tax費用は治療当時の料金となります
治療について
PMTC(30分)コース・5000+taxを行いました。ワイヤー矯正は、装置の取り外しができないため、その周囲に汚れがたまりやすくなります。装置の周りの細かい部分にはご自身でのブラッシングケアだけでは虫歯や歯周病の予防ができかねます。定期的にクリーニングを行うことをおすすめします。
担当歯科衛生士
表参道しらゆり歯科 DH西澤
PMTCの注意事項(リスク・副作用など)
- 歯を白くする目的の施術ではありません
- 保険適用外となります
当サイトの内容、テキスト、画像等の無断転載、複製、複写、盗用を固く禁じます。


















