症例詳細
Case detail
PMTCで歯石やステインの除去
治療症例の内容
- 診療科目
- 治療カテゴリ
- 患者様
- 30代女性
- 治療期間
- 1日
- 治療回数
- 1回
- 治療計画
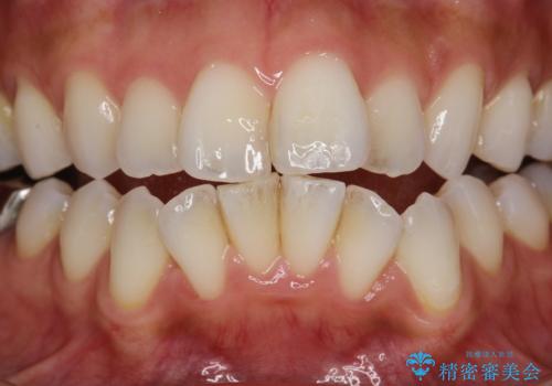
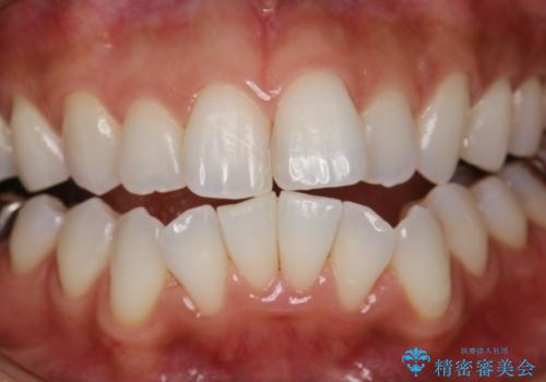
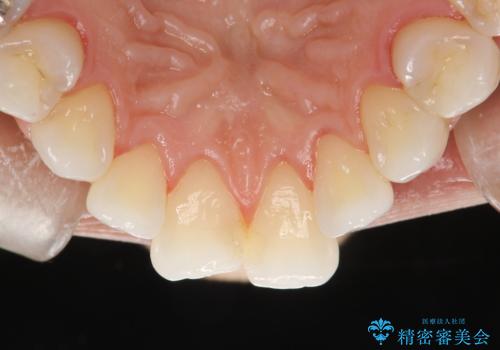
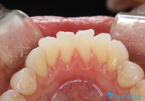
- 2年ぶりのクリーニングのため、全体的な歯石やステインをしっかり落としたいとのことで来院されました。
奥歯、前歯、表、裏と全体的に汚れが確認されたため、PMTC(自費クリーニング)60分コースを行いました。
- 費用(概算)
- 1万円+tax費用は治療当時の料金となります
治療について
PMTCを定期的に行い、お口の中を清潔に保つことで長期的に健康なお口の状態でいられることにつながりなす。毎日かかさず食べる・飲む・噛む・話すなど当たり前の日常生活を快適に送れるように、歯科衛生士による専門的なクリーニングでサポートさせていただきたいと思います。
担当歯科衛生士
表参道しらゆり歯科 DH西澤
PMTCの注意事項(リスク・副作用など)
- 歯を白くする目的の施術ではありません
- 保険適用外となります
当サイトの内容、テキスト、画像等の無断転載、複製、複写、盗用を固く禁じます。








