症例詳細
Case detail
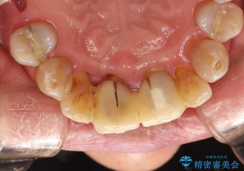
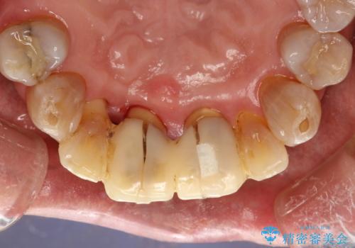
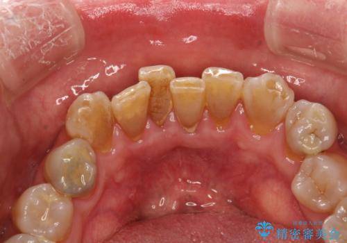
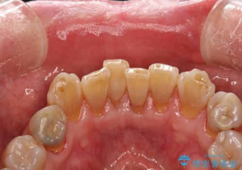
歯周外科前のクリーニング
治療症例の内容
- 診療科目
- 治療カテゴリ
- 患者様
- 50代男性
- 治療期間
- 1日
- 治療回数
- 1回
- 治療計画
- 歯周外科を行う前に、しっかりと汚れを除去し外科治療がスムーズに行えるようにとのことでPMTC30分コースを行いました。
- 費用(概算)
- 5千円+tax費用は治療当時の料金となります
治療について
治療前のクリーニングを行うことで、より処置がスムーズに行えること・処置後の腫れや感染予防にもなります。また、外科治療をおこなった後は、傷口の治りを待つため、しっかりとブラッシングできない状態になります。そのため処置前に、なるべくお口の中を清潔にしておくことが大切です。
親知らずの抜歯やインプラント治療の前などに、PMTC(専門器具による歯の機械的な清掃)を行うことをおすすめします。
担当歯科衛生士
表参道しらゆり歯科 DH西澤
PMTCの注意事項(リスク・副作用など)
- 歯を白くする目的の施術ではありません
- 保険適用外となります
当サイトの内容、テキスト、画像等の無断転載、複製、複写、盗用を固く禁じます。






