症例詳細
Case detail
矯正治療が終了してからのメンテナンス
治療症例の内容
- 診療科目
- 治療カテゴリ
- 患者様
- 30代女性
- 治療期間
- 1日
- 治療回数
- 1回
- 治療計画
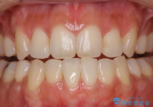
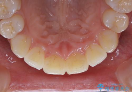
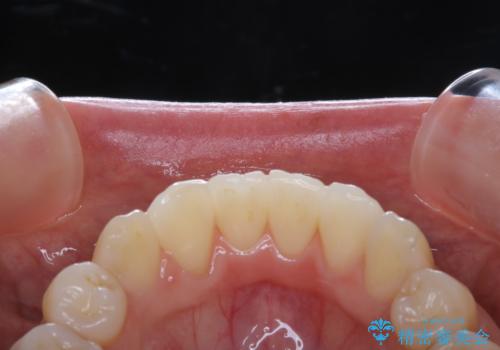
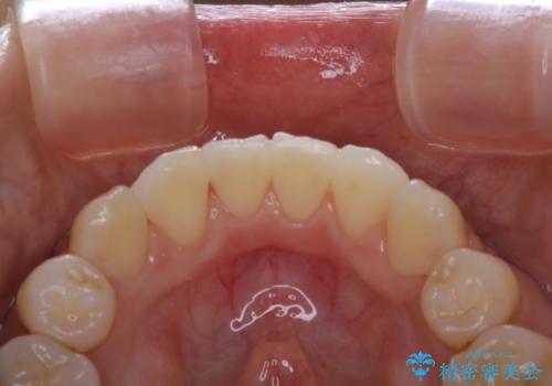
- 約1年前に矯正治療が終了し、その後のメンテナンスを行っている方です。矯正のチェックもかねてクリーニングも希望とのことでした。
- 費用(概算)
- 5千円+tax費用は治療当時の料金となります
治療について
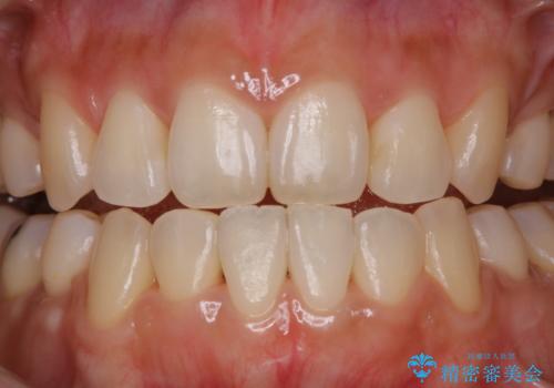
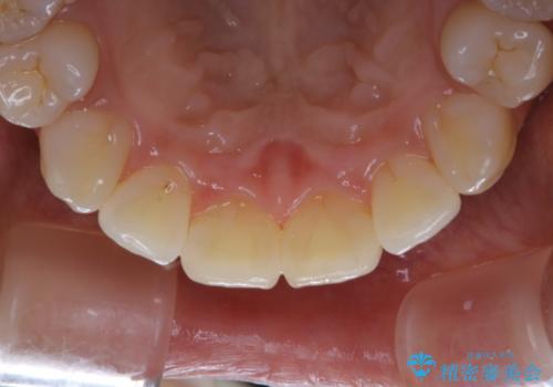
PMTC(自費クリーニング)30分コースを行いました。
定期的なメンテナンスをして頂いていること、ご自身でのケアをかなり丁寧にされていていることで、歯石や着色の量がさほど多くなかったため30コースで全体的なクリーニングが可能でした。
矯正治療が終了した後は、歯並びの改善により歯ブラシやフロスが通しやすくなります。ただし、日々の磨き残しや唾液の成分などによりバイオフィルムや歯石はどうしても付着してしまいます。そのため、2~3か月に1回は、歯科医院での専門的クリーニングをすることが大切です。
担当担当歯科衛生士
表参道しらゆり歯科 DH西澤
PMTCの注意事項(リスク・副作用など)
- 歯を白くする目的の施術ではありません
- 保険適用外となります
当サイトの内容、テキスト、画像等の無断転載、複製、複写、盗用を固く禁じます。








