症例詳細
Case detail
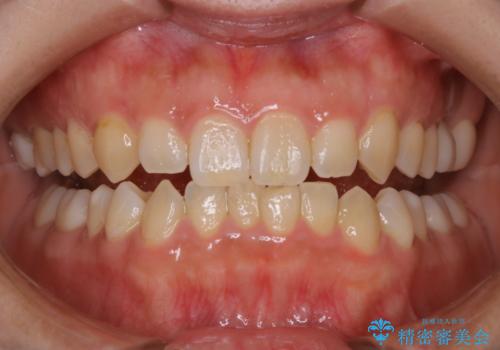
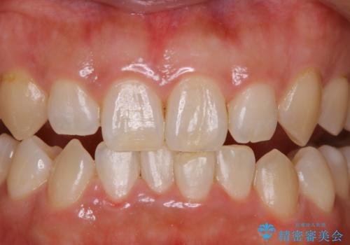
Whitening前のクリーニング
治療症例の内容
- 診療科目
- 治療カテゴリ
- 患者様
- 20代女性
- 治療期間
- 1日
- 治療回数
- 1回
- 治療計画
- 今後ホワイトニングを行う予定があるためクリーニング希望とのことで来院されました。
- 費用(概算)
- 5千円+tax費用は治療当時の料金となります
治療について
歯の表面にべったりと汚れが付着していたためPMTC(自費クリーニング)30分コースを行いました。
プラークと呼ばれる歯垢は、歯磨きをしっかりと丁寧にすれば落とせます。ただし、磨き残しなどにより歯垢が2~3日くらい歯に付着し続けると、歯石へと変化していきます。
歯垢や歯石が付着したままの状態でホワイトニングを行うと、歯肉の腫れにより、ホワイトニングの歯肉保護が困難になったり、ホワイトニングの薬液が浸透しづらかったりと、トラブルの原因になることがあります。
ホワイトニング前には、クリーニングでご自身本来の歯の色にし、歯肉の腫れや炎症を抑えてからおこなうことが理想的です。
担当担当歯科衛生士
表参道しらゆり歯科 DH西澤
PMTCの注意事項(リスク・副作用など)
- 歯を白くする目的の施術ではありません
- 保険適用外となります
当サイトの内容、テキスト、画像等の無断転載、複製、複写、盗用を固く禁じます。




