症例詳細
Case detail
歯の着色落とし
治療症例の内容
- 診療科目
- 治療カテゴリ
- 患者様
- 30代男性
- 治療期間
- 1日
- 治療回数
- 1回
- 治療計画
- 1年前ぶりの歯科医院へ来院、着色が気になるためクリーニングと全体的なチェック希望とのことでした。
- 費用(概算)
- 1万円+taxと保険分費用は治療当時の料金となります
治療について
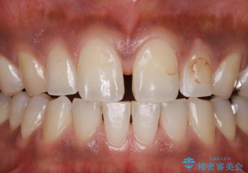
着色(ステイン)が裏表と付着し、全体的に歯石やプラーク(細菌の塊)も付着していたのでPMTC60分コース(自費クリーニング)を行いました。
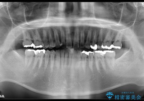
全体的なチェックも希望だったため、全体のレントゲン撮影も行いました。(レントゲン撮影は保険料金)
クリーニングで、汚れを除去した際に、古い詰め物の色がより目立ってきたため、今後やり替えすることになりました。
クリーニングを行うことで、新たな虫歯や、やり替え必要部分が見つかることがあります。
担当歯科衛生士
表参道しらゆり歯科 DH西澤
PMTCの注意事項(リスク・副作用など)
- 歯を白くする目的の施術ではありません
- 保険適用外となります
当サイトの内容、テキスト、画像等の無断転載、複製、複写、盗用を固く禁じます。









