症例詳細
Case detail
前歯のガタガタ 治療期間がかかっても良いので非抜歯でマウスピースで
治療症例の内容
- 担当医
- 井上季実子(ドクタープロフィール)
- 患者様
- 40代女性
- 矯正装置
- インビザライン フル
- 治療期間
- 3年8ヶ月
- 治療回数
- 10-30回
- 治療計画
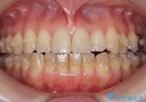
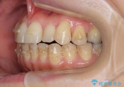
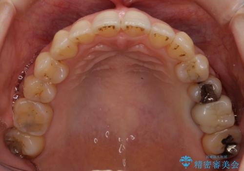
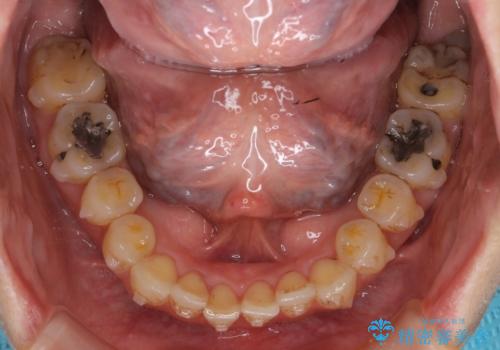
- 前歯のガタガタを主訴に来院。
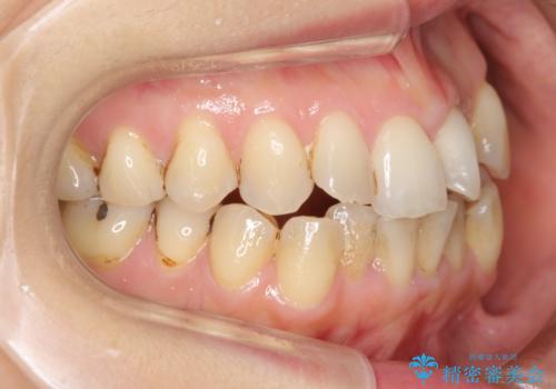
前歯は開咬傾向であり、小臼歯から大臼歯にかけてもオーバージェットは非常に小さく咬耗していました。
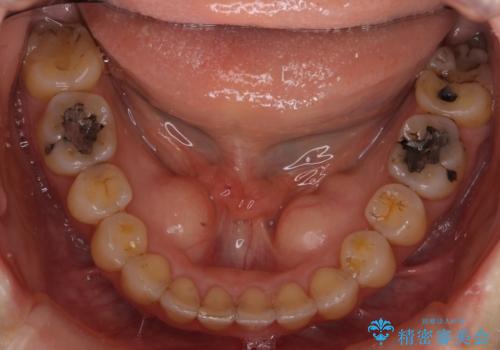
非抜歯で前歯の重なりを作るのは難しいとご説明しましたが、インビザラインでできるところまで並べていくことになりました。
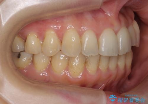
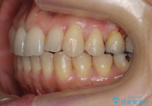
結果、非常に真面目に治療に取り組んでいただき、期間はかかりましたが予想以上の結果を得ることができました。
マウスピース矯正の治療には患者様のご協力が不可欠で、治療の成否を分けると言っても過言ではありません。
- 費用(概算)
- 90万円費用は治療当時の料金となります
治療について
途中再評価を行い、矯正用のミニスクリューを用いて奥歯を遠心移動し、前歯の出っ歯傾向を改善しました。
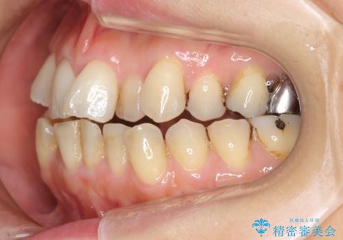
左上12の段差についてはここまで直すのにもかなり時間がかかりました。インビザライン単独では限界があると説明し、ワイヤーの部分矯正もご提案しましたが、患者様のご希望によりインビザラインでできるところまで頑張るということで4回ほどリファインメントを行いました。
マウスピース矯正の注意事項(リスク・副作用など)
- 口腔内・歯並びの状態によっては対応できない場合があります
- マウスピース型矯正装置の長時間装着(1日20時間以上)が必須です
- 治療計画通りに進めるためには、患者様の意志が重要になります
- 矯正治療後の保定が不十分だと後戻り(元の位置に戻ろうとする動き)をします
- 薬機法対象外の矯正歯科装置のため医薬品副作用被害救済制度の対象外となる場合があります
- 自費診療(保険適用外)となります
当サイトの内容、テキスト、画像等の無断転載、複製、複写、盗用を固く禁じます。





















