症例詳細
Case detail
invisalign中のクリーニング
治療症例の内容
- 診療科目
- 治療カテゴリ
- 患者様
- 20代女性
- 治療期間
- 1日
- 治療回数
- 1回
- 治療計画
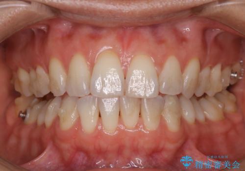
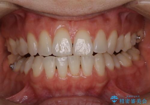
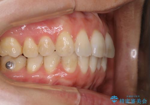
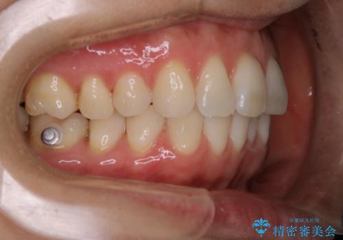
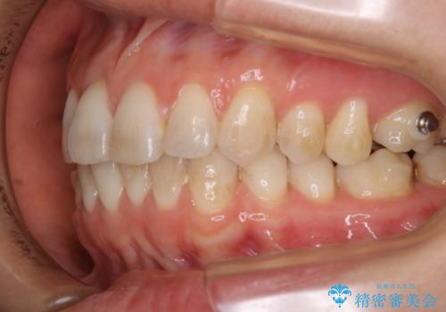
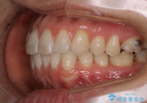
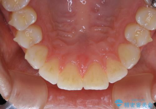
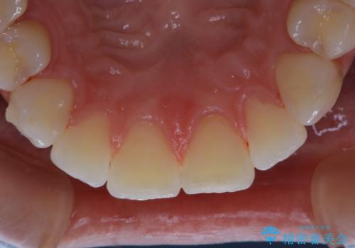
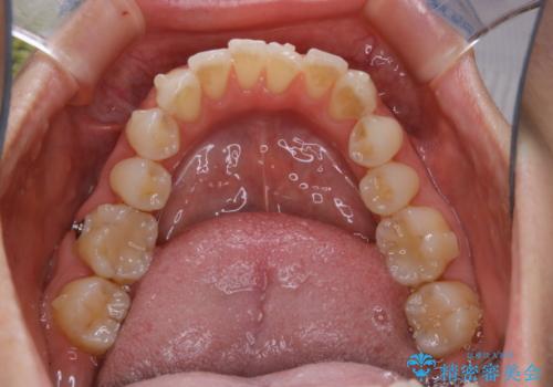
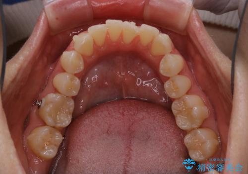
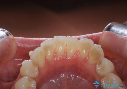
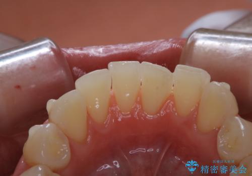
- インビザライン矯正治療中にステインが気になるとのことで来院されました。全体的にステインが付着していたため自費クリーニングPMTC(60分コース)を行いました。
- 費用(概算)
- 1万円+tax費用は治療当時の料金となります
治療について
インビザライン矯正治療中は、ご自身の歯にアタッチメントという突起物(効率的に歯の移動を行うため)をつけます。そのため、通常時よりもステインが付きやすい状態になることがあります。
インビザラインは透明なマウスピースなので、ご自身の歯にステインなどが付着していると、見た目に影響してしまうことがあります。
矯正治療中の虫歯・歯周病・口臭予防としても、定期的にPMTCを行うことが大切です。
担当歯科衛生士
表参道しらゆり歯科 DH西澤
PMTCの注意事項(リスク・副作用など)
- 歯を白くする目的の施術ではありません
- 保険適用外となります
当サイトの内容、テキスト、画像等の無断転載、複製、複写、盗用を固く禁じます。
















