症例詳細
Case detail
PGA(ゴールド)インレー しみる銀歯の虫歯治療
治療症例の内容
- 診療科目
- 治療カテゴリ
- 担当医
- 患者様
- 40代女性
- 治療期間
- 1ヶ月
- 治療回数
- 2-5回
- 治療計画
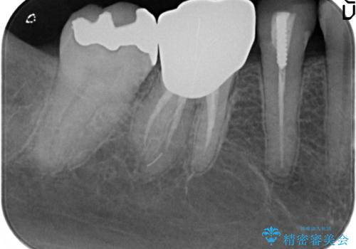
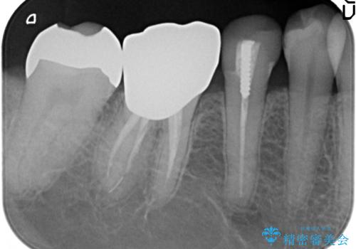
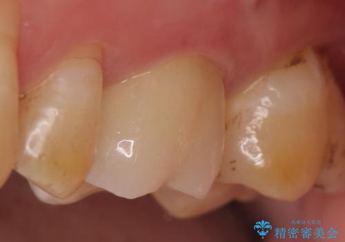
- 冷たいものを飲むと右下の奥歯が痛むので診て欲しいといらっしゃった方の症例です。
銀歯及び虫歯を除去後、より適合の良いPGA(ゴールド)インレーによる修復を行いました。
- 費用(概算)
- PGA(ゴールド)インレー…¥60,000費用は治療当時の料金となります
虫歯治療について
虫歯治療は虫歯の進行度によって処置が変わってきます。
虫歯が小さければ、インレー・クラウン等による修復・補綴処置を行うだけで済みます。
しかし虫歯が大きくなると神経処置や抜歯等をしなければならない場合もあります。
ですので虫歯治療においては早期発見・早期治療が肝要です。
PGA(ゴールド)について
ゴールドは化学的な安定性が高いため変色や腐食がほとんどなく、アレルギーなども起こりにくい人体に優しい素材です。
また硬さも天然歯に近いため周囲の歯への影響も少なく、さらに適合もよいため虫歯の再発も少ない、とても補綴に適した材料です。
PGA(ゴールド)クラウン、インレーの注意事項(リスク・副作用など)
- インレーおよびクラウンは脱離するリスクがあります
- 形成量はセラミックより少ないですが、歯の形成、修復後に歯に症状が出ることがあります
- 自費診療(保険適用外治療)となります
当サイトの内容、テキスト、画像等の無断転載、複製、複写、盗用を固く禁じます。








