症例詳細
Case detail
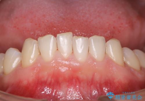
30年ぶりに歯科医院へ来院 クリーニングと口腔内のチェック
治療症例の内容
- 診療科目
- 治療カテゴリ
- 患者様
- 40代男性
- 治療期間
- 1日
- 治療回数
- 1回
- 治療計画
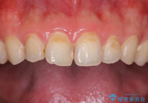
- 30年くらい歯科医院へ行ってなく、クリーニングと全体のチェック希望で来院されました。
日常生活で、痛みやしみたりの症状はないとの事でした。
- 費用(概算)
- 1万円+tax費用は治療当時の料金となります
治療について
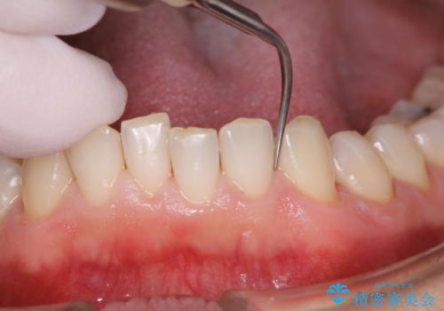
PMTC60分コース(保険外治療)を行いました。
PMTCとは、専用器具を用いたクリーニングのことで、歯磨きでは落とせない汚れを落とすことができます。
クリーニングの利点は、ただ汚れを除去するだけでなく、患者様ご自身の本来の歯質を取り戻すことで、歯になにか異常があった際にそれを発見しやすくなります。
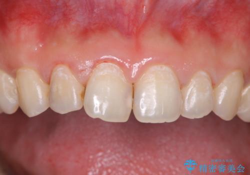
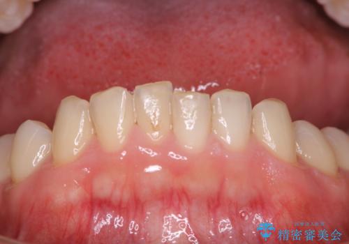
今回の患者様はかなり久しぶりの歯科医院へ来院とのことで、プラーク(歯垢)・歯石・ステイン(着色)がたくさん付着しており、クリーニング後に歯と歯の間に虫歯が発見されました。今後は定期的なメンテナンス・クリーニングと併用しながら虫歯の治療を行っていく予定です。
担当担当歯科衛生士
表参道しらゆり歯科 DH西澤
PMTCの注意事項(リスク・副作用など)
- 歯を白くする目的の施術ではありません
- 保険適用外となります
当サイトの内容、テキスト、画像等の無断転載、複製、複写、盗用を固く禁じます。








