症例詳細
Case detail
抜歯時歯槽堤保存術を用いた骨造成・インプラント治療
治療症例の内容
- 患者様
- 30代女性
- 治療期間
- 1年
- 治療回数
- 5-10回
- 治療計画
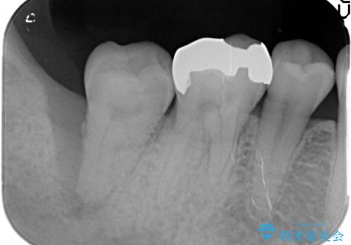
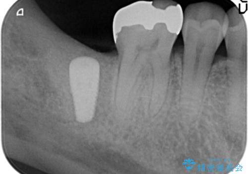
- 右下奥歯がグラグラし、噛めないことの改善を希望され来院されました。
X線写真より根尖付近までの骨吸収を認めます。
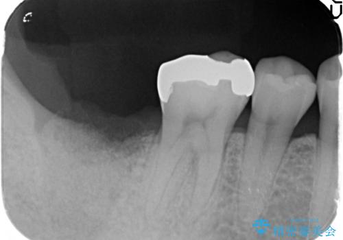
抜歯を余儀なくされる状況ですが、将来的にインプラントによる咬合機能回復を希望されたので抜歯と同時に骨補填剤を填入し骨の造成をしたのちのインプラント治療を計画します。
- 費用(概算)
- 50万円(ストローマンインプラント・骨造成・チタンカスタムアバットメント・ジルコニアクラウン)費用は治療当時の料金となります
インプラント治療について
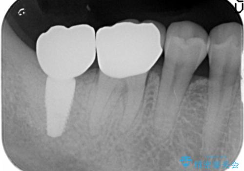
歯を失い、将来的にインプラントを埋入し咬合機能を回復していく場合、十分な骨量の確保は重要です。
今回抜歯後、骨が十分に確保できないとの判断から抜歯と同時に骨補填剤の填入を行いました。
インプラント治療の注意事項(リスク・副作用など)
- 外科手術のため、術後に痛みや腫れ、違和感を伴います
- メンテナンスを怠ったり喫煙により、お口の中に大きな悪影響を及ぼすインプラント周囲炎等にかかる可能性があります
- 糖尿病、肝硬変、心臓病等の場合、インプラント治療ができない可能性があります
- 高血圧、貧血・不整脈等の場合、インプラント治療後に治癒不全を招く可能性があります
- 自費診療(保険適用外治療)となります
当サイトの内容、テキスト、画像等の無断転載、複製、複写、盗用を固く禁じます。

















