症例詳細
Case detail
セラミック治療を考えている方のクリーニング
治療症例の内容
- 診療科目
- 治療カテゴリ
- 患者様
- 20代女性
- 治療期間
- 1日
- 治療回数
- 1回
- 治療計画
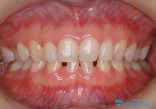
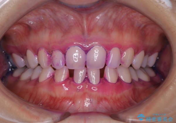
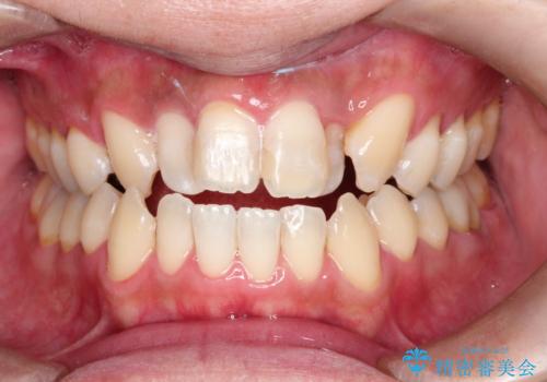
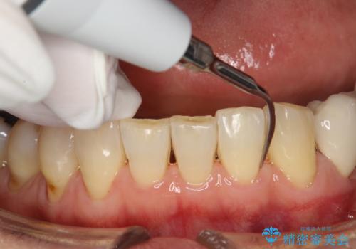
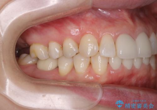
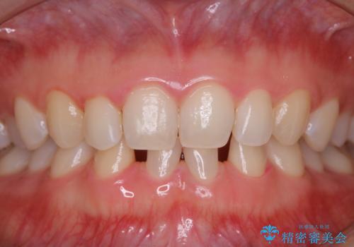
- すき間の部分の歯磨きがしずらく、クリーニング希望で来院されました。今後はセラミックによる治療を考えてとの事でした。PMTC(保険外治療)30分コースを行いました。
- 費用(概算)
- 5千円+TAX費用は治療当時の料金となります
治療について
PMTC(保険外治療)とは、歯垢・歯石・着色などを除去することです。磨きのこしなどにより歯垢が付着し続けると、歯石に変化していきます。歯石になってしまったら、歯ブラシだけで落とすことができなくなります。そのため歯科医院での専門的な機械・材料を使用してのクリーニングが必要です。
担当歯科衛生士
表参道しらゆり歯科 西澤
PMTCの注意事項(リスク・副作用など)
- 歯を白くする目的の施術ではありません
- 保険適用外となります
当サイトの内容、テキスト、画像等の無断転載、複製、複写、盗用を固く禁じます。




