症例詳細
Case detail
毎月のメンテナンス
治療症例の内容
- 診療科目
- 治療カテゴリ
- 患者様
- 20代女性
- 治療期間
- 1日
- 治療回数
- 1回
- 治療計画
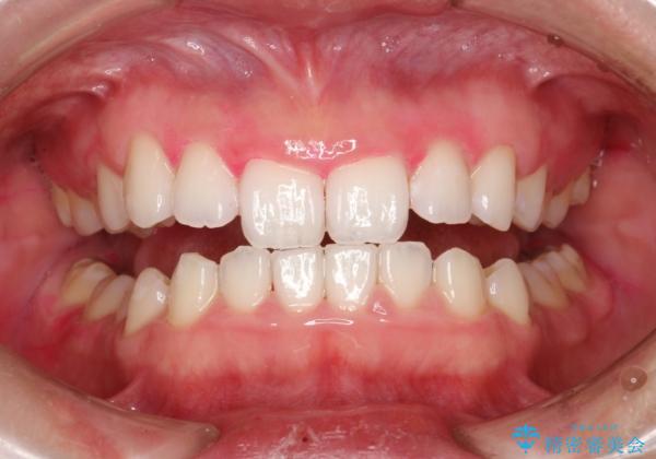
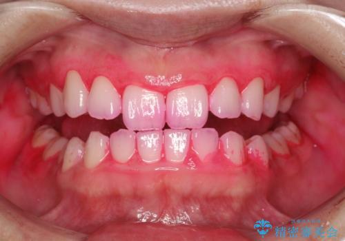
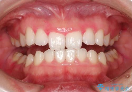
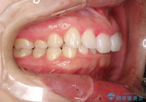
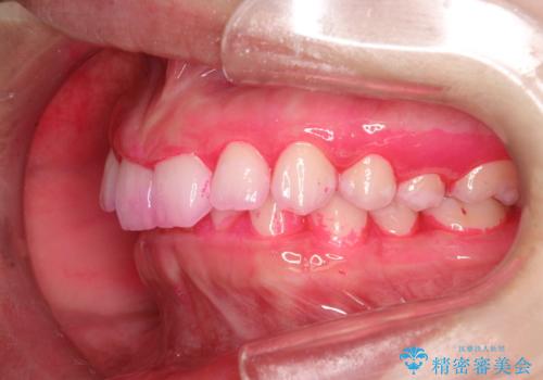
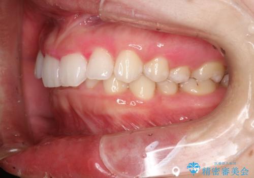
- 月1でメンテナンスに来ていただき、全体のチェックとクリーニングをしている方です。
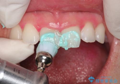
 毎月、PMTC(保険外治療)の30分コースを行っています。
- 費用(概算)
- 5千円+TAX費用は治療当時の料金となります
治療について
PMTC(保険外治療)は、毎日の歯磨きで落としきれない汚れや、タバコのヤニなどの着色も除去します。目には見えない歯と歯の間・歯肉の境目などに残っているプラーク(歯垢)もしっかり取り除きます。
担当担当歯科衛生士
表参道しらゆり歯科 DH西澤
PMTCの注意事項(リスク・副作用など)
- 歯を白くする目的の施術ではありません
- 保険適用外となります
当サイトの内容、テキスト、画像等の無断転載、複製、複写、盗用を固く禁じます。








 
                       
                                                          






 
                   
                   
                  