症例詳細
Case detail
虫歯をなおしたい、セラミックインレー修復
治療症例の内容
- 診療科目
- 治療カテゴリ
- 担当医
- 吉﨑ゆりな(ドクタープロフィール)
- 患者様
- 30代男性
- 治療期間
- 1ヶ月
- 治療回数
- 2-5回
- 治療計画
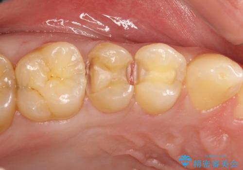
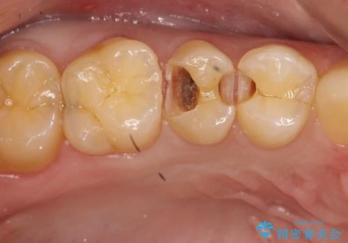
- 時々冷たいものがしみるといらした患者様です。
歯科医院に行くこと自体が久しぶりだったようで、口腔内にはたくさん虫歯がありました。
小さな虫歯に関しては保険内の白い詰め物にて、虫歯の大きい箇所はセラミックインレーにて修復しました。
- 費用(概算)
- 14万円+tax費用は治療当時の料金となります
治療について
定期的に口腔内の状態をチェックすることはとても大切です。
最初は虫歯も痛みません。冷たいものがしみるなど痛みを感じだすのは、ある程度大きくなってきてからのことが多いので、定期的に診てもらうようにしましょう。
セラミック治療の注意事項(リスク・副作用など)
- 天然歯を削ります
- 硬い素材は天然歯を傷つけてしまう場合があります
- かみ合わせや歯ぎしりが強すぎる方はセラミックが割れてしまう可能性があります
- 自費診療(保険適用外治療)となります
当サイトの内容、テキスト、画像等の無断転載、複製、複写、盗用を固く禁じます。






