症例詳細
Case detail
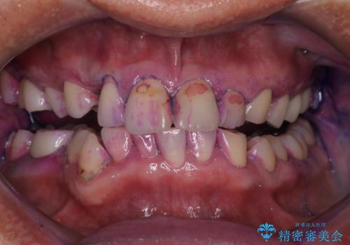
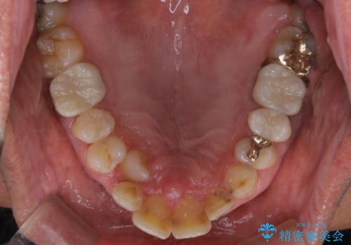
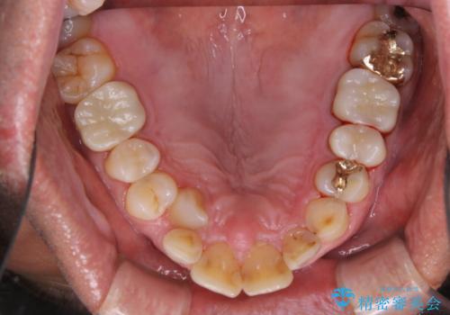
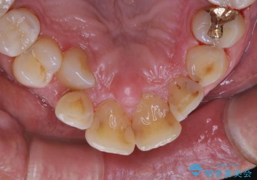
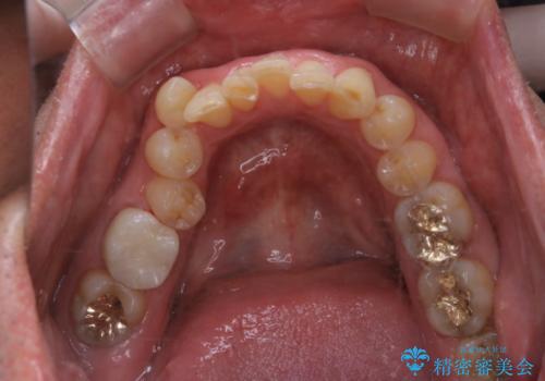
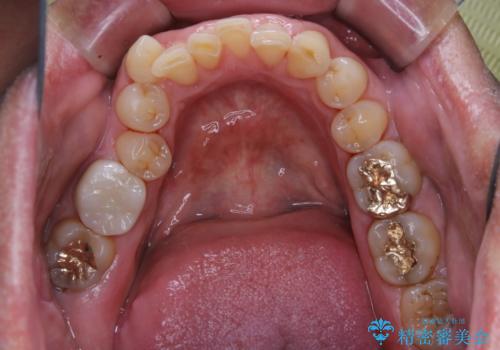
被せ物治療が終了したため全体的にクリーニングを
治療症例の内容
- 診療科目
- 治療カテゴリ
- 患者様
- 50代男性
- 治療期間
- 1日
- 治療回数
- 1回
- 治療計画
- 被せ物の治療が終了したためメンテナンスに入る前に全体的なチェック・クリーニングを行いました。
- 費用(概算)
- 1万円+TAX費用は治療当時の料金となります
治療について
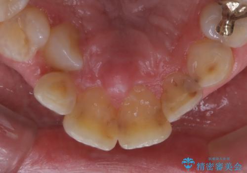
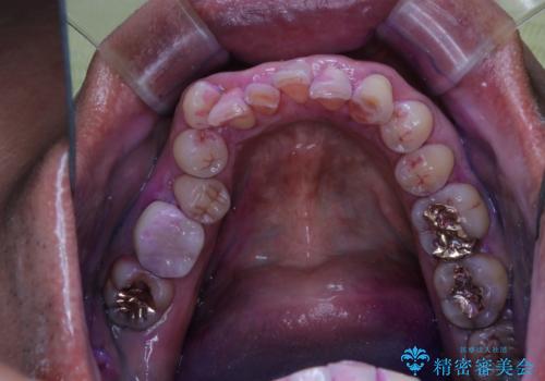
歯科衛生士による専門的なクリーニングPMTC(保険外治療)60分コースを行いました。
専門的な機械・材料を使用して徹底的に汚れを取り除きました。
染め出しをして、磨き残しの確認・ブラッシング指導も行いました。
大切なこと
治療が終了したら、そこで終わりではなく、そこからのケアがとても大切です。
いくら綺麗なセラミックがセットされても、歯ブラシが適切にできないと汚れが付着します。治療が終わったら、改めて現状のお口の中に合わせたブラッシング指導を行い長期的に安定したお口の環境づくりにしていきます。
担当担当歯科衛生士
表参道しらゆり歯科 DH西澤
PMTCの注意事項(リスク・副作用など)
- 歯を白くする目的の施術ではありません
- 保険適用外となります
当サイトの内容、テキスト、画像等の無断転載、複製、複写、盗用を固く禁じます。















