症例詳細
Case detail
矯正治療を考えている方のクリーニング
治療症例の内容
- 診療科目
- 治療カテゴリ
- 患者様
- 20代女性
- 治療期間
- 1日
- 治療回数
- 1回
- 治療計画
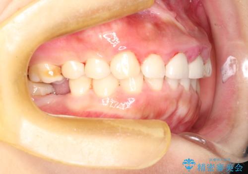
- 矯正治療のご相談で来院されました。歯科がかなり久々とのことでまずは、全体的なクリーニング希望とのことでした。
- 費用(概算)
- 1万円+TAX費用は治療当時の料金となります
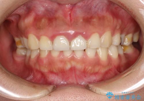
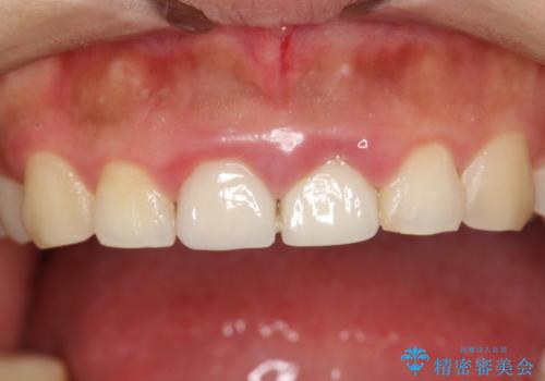
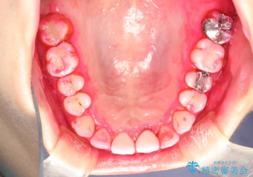
-
開始前
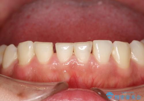
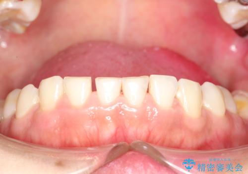
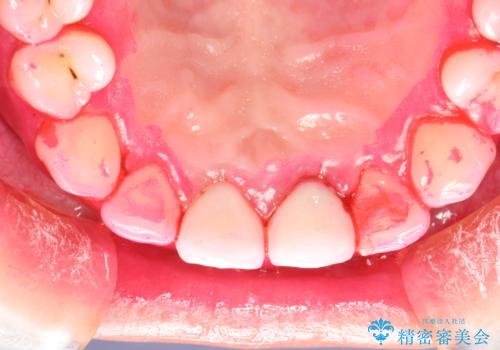
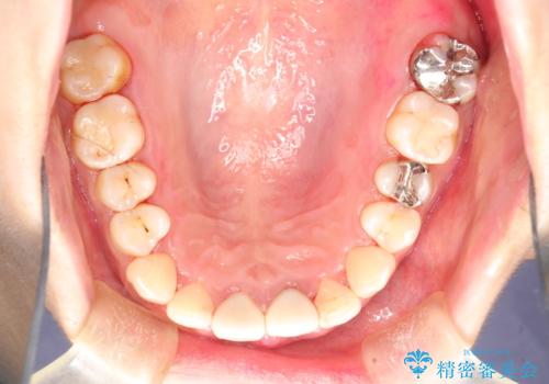
-
治療途中
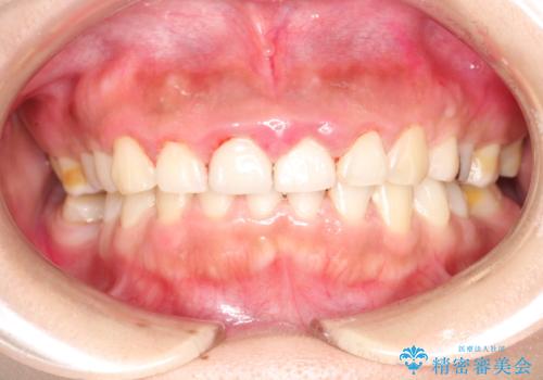
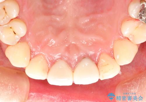
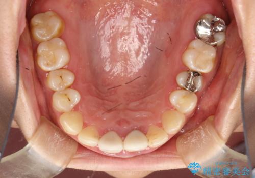
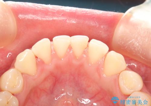
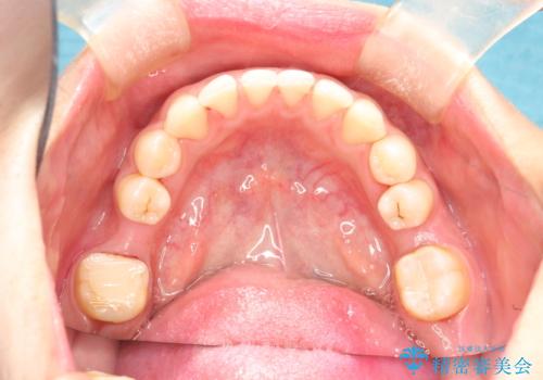
-
終了時
治療について
かなり久しぶりの歯科医院との事で、全体的に古くからの歯垢・歯石が多く付着していたため、自費クリーニング(PMTC)60分コース・歯周ポケット検査(保険適応)を行いました。
磨き残しが放置されると、そこで病原菌が繁殖し始めます。よって歯肉に炎症が生じ、歯周病の原因になることがあります。
定期的に、歯周病検査や専門的なクリーニングをすることで、早期発見につながります。
担当歯科衛生士
表参道しらゆり歯科 DH西澤
PMTCの注意事項(リスク・副作用など)
- 歯を白くする目的の施術ではありません
- 保険適用外となります
当サイトの内容、テキスト、画像等の無断転載、複製、複写、盗用を固く禁じます。



























