症例詳細
Case detail
インビザラインで矯正中にクリーニング
治療症例の内容
- 診療科目
- 治療カテゴリ
- 患者様
- 40代女性
- 治療期間
- 1日
- 治療回数
- 1回
- 治療計画
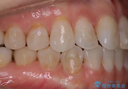
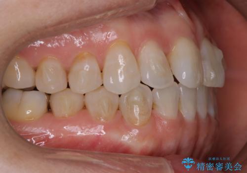
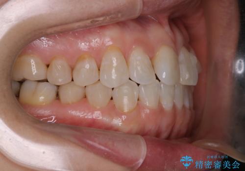
- インビザラインの治療中に、アタッチメント(歯を動かすために設定する突起物)周囲に着色がみられ、クリーニングを希望されました。
- 費用(概算)
- 5千円+TAX費用は治療当時の料金となります
治療について
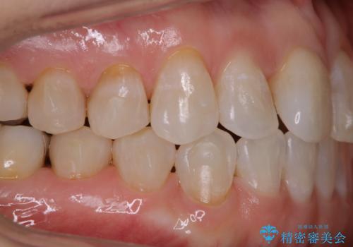
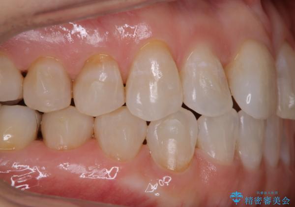
自費クリーニングPMTCの30分5000+TAXコースを行いました。今回はステイン(着色)が薄く付着していたので30分コースで施術可能でした。
着色や歯石の量などにより、コースを選択して頂いています。
治療について
矯正中は、歯の移動などによりお口の中の環境がかわるため定期的に、機械的な清掃をおすすめしています。
担当歯科衛生士
表参道しらゆり歯科 西澤
PMTCの注意事項(リスク・副作用など)
- 歯を白くする目的の施術ではありません
- 保険適用外となります
当サイトの内容、テキスト、画像等の無断転載、複製、複写、盗用を固く禁じます。




