症例詳細
Case detail
PGA(ゴールド)インレー 甘いものがしみる歯の治療
治療症例の内容
- 診療科目
- 治療カテゴリ
- 担当医
- 患者様
- 40代女性
- 治療期間
- 1ヶ月
- 治療回数
- 2-5回
- 治療計画
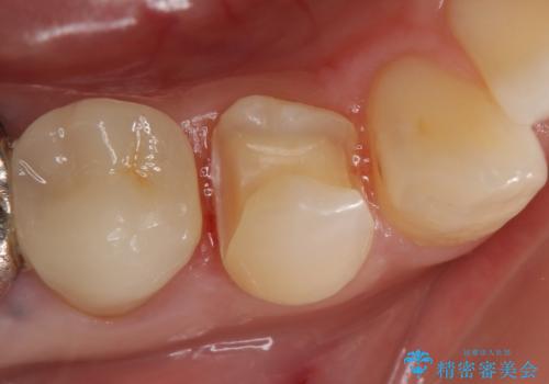
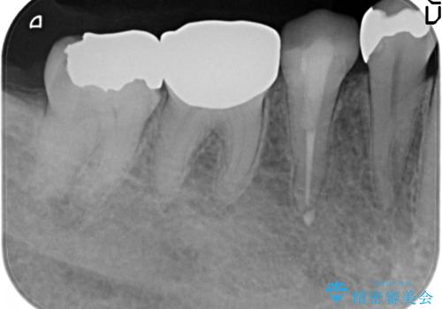
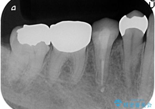
- 甘いものを食べると右下4番目の歯がしみるので診て欲しいといらっしゃった方の症例です。
古い銀歯と虫歯を除去後、PGA(ゴールド)インレーによる修復を行いました。
- 費用(概算)
- PGA(ゴールド)インレー…¥60,000費用は治療当時の料金となります
PGA(ゴールド)について
ゴールドは化学的な安定性が高いため変色や腐食がほとんどなく、アレルギーなども起こりにくい人体に優しい素材です。
また硬さも天然歯に近いため周囲の歯への影響も少なく、さらに適合もよいため虫歯の再発も少ない、とても補綴に適した材料です。
PGA(ゴールド)クラウン、インレーの注意事項(リスク・副作用など)
- インレーおよびクラウンは脱離するリスクがあります
- 形成量はセラミックより少ないですが、歯の形成、修復後に歯に症状が出ることがあります
- 自費診療(保険適用外治療)となります
当サイトの内容、テキスト、画像等の無断転載、複製、複写、盗用を固く禁じます。








