症例詳細
Case detail
滑舌の改善 舌小帯の形成
治療症例の内容
- 診療科目
- 治療カテゴリ
- 担当医
- 大元洋佑(ドクタープロフィール)
- 患者様
- 20代女性
- 治療期間
- 治療回数
- 1回
- 治療計画
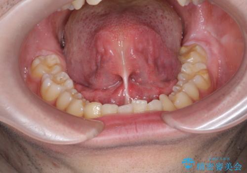
- 舌の動きが悪く滑舌の改善を求めて来院されました。
静脈内鎮静下で、ほとんど記憶のないうちに手術を行い滑舌の改善を計画します。
- 費用(概算)
- 6万円(小帯形成術・静脈内鎮静)費用は治療当時の料金となります
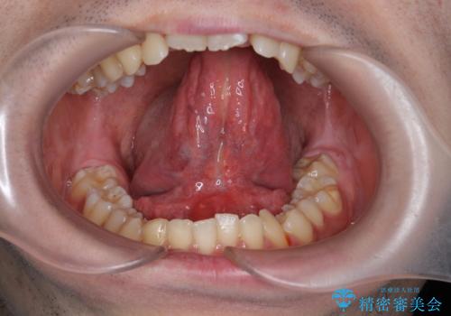
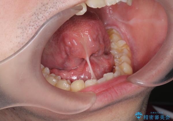
舌小帯の形成について
舌小帯の形成を行うことで、動きがよくなり滑舌の改善を喜んでいただくことができました。
小手術に際して、少量の出血・疼痛のリスクがあります。
外科処置の注意事項(リスク・副作用など)
- 外科手術のため、術後に出血、痛みや腫れ、違和感を伴います
- 口腔内の状態によっては適応できないことがあります
当サイトの内容、テキスト、画像等の無断転載、複製、複写、盗用を固く禁じます。






