症例詳細
Case detail
40年ぶりの歯科医院へ来院
治療症例の内容
- 診療科目
- 治療カテゴリ
- 患者様
- 40代男性
- 治療期間
- 1日
- 治療回数
- 1回
- 治療計画
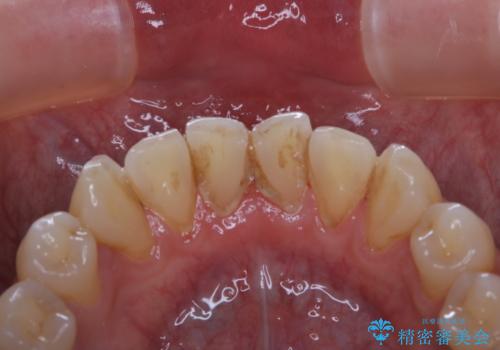
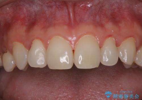
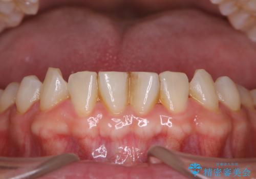
- 40年ほど歯科医院へ行ってなく、ザラつきがきになるとの事で来院されました。最近は普段の歯磨きの際、出血することがあり、歯ブラシ指導も希望されました。
お口全体に、歯垢・歯石が付着していたため、自費クリーニング(PMTC)60分コースを行い、徹底的に除去しました。
全体のチェックでレントゲン撮影も行いました。
- 費用(概算)
- 1万円+TAXと保険分費用は治療当時の料金となります
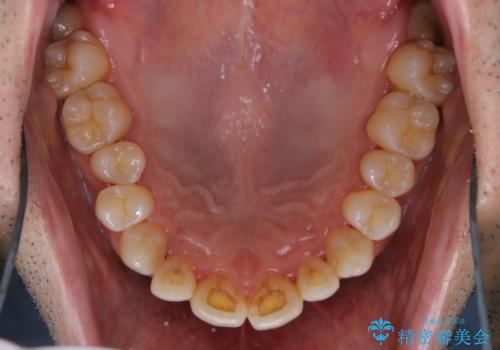
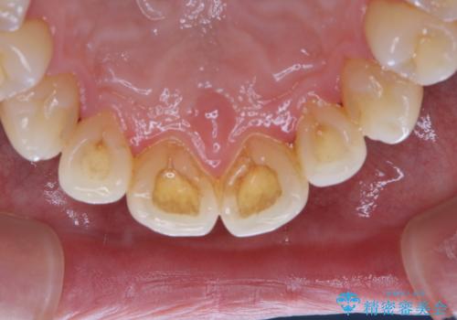
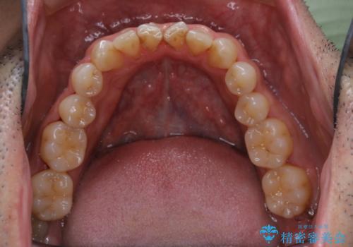
-
開始前
-
治療途中
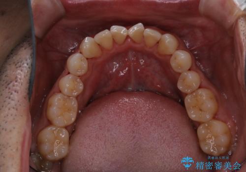
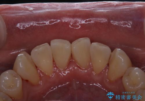
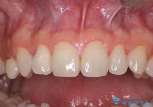
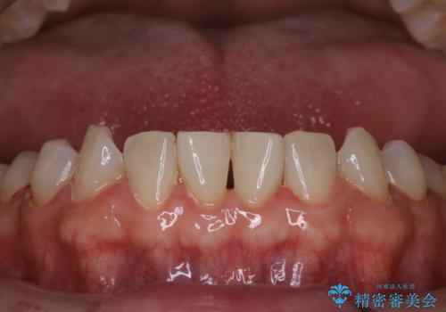
-
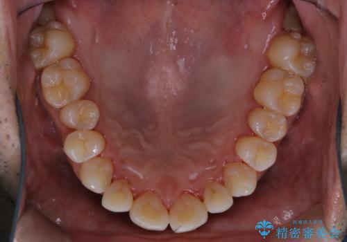
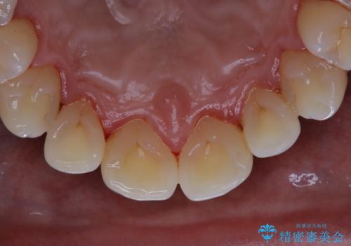
終了時
治療について
40年ぶりの来院との事で全体的に、古くからの歯垢・歯石が硬く多く付着していたため、自費クリーニング(PMTC)60分1万円+TAXコースを行いました。
日々の磨き残しなどをそのまま放置すると、細菌が固まり硬い歯石になります。
歯石になってしまうと、とても硬く、歯ブラシで取り除くことが出来なくなります。
よって、歯科衛生士による専門的なクリーニングを定期的に行うことがとても大切です。
PMTCの注意事項について
歯を白くするための施術ではありません。
自費診療(保険適応外)です。
担当歯科衛生士
表参道しらゆり歯科 西澤
PMTCの注意事項(リスク・副作用など)
- 歯を白くする目的の施術ではありません
- 保険適用外となります
当サイトの内容、テキスト、画像等の無断転載、複製、複写、盗用を固く禁じます。














