症例詳細
Case detail
結婚式前にクリーニング希望の方
治療症例の内容
- 診療科目
- 治療カテゴリ
- 患者様
- 30代男性
- 治療期間
- 1日
- 治療回数
- 1回
- 治療計画
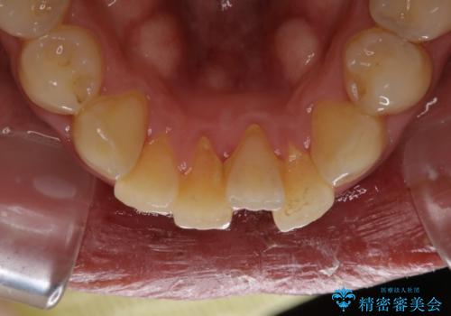
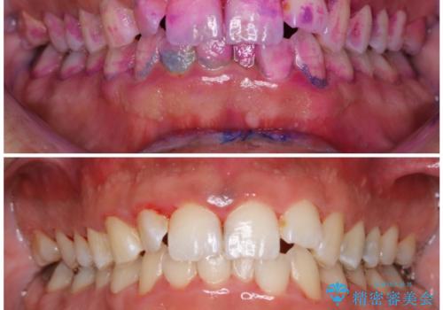
- 結婚式を控えているため、クリーニング希望とのことで来院されました。歯科医院がかなり久しぶりとのことでした。
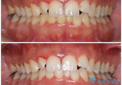
全体の染め出しを行い、歯科衛生士による専門的自費クリーニング(PMTC)60分コースを行いました。
- 費用(概算)
- 1万円+TAX費用は治療当時の料金となります
治療について
プラークが放置されると、そこで歯周病菌が繁殖し始めます。よって歯肉に炎症が生じ、歯周病に引き金となります。
クリーニングを行うことで、汚れがを取り除くだけではなく、口臭予防にもなります。
また、ご自身本来の歯の色になり自然な明るさになります。
PMTCの注意事項について
歯を白くするための施術ではありません。
自費診療(保険適応外)です。
担当歯科衛生士
表参道しらゆり歯科 DH西澤
PMTCの注意事項(リスク・副作用など)
- 歯を白くする目的の施術ではありません
- 保険適用外となります
当サイトの内容、テキスト、画像等の無断転載、複製、複写、盗用を固く禁じます。






