症例詳細
Case detail
歯周病 インプラントによる咬合機能回復
治療症例の内容
- 患者様
- 60代女性
- 治療期間
- 3年
- 治療回数
- 30回以上
- 治療計画
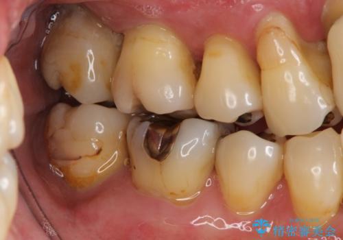
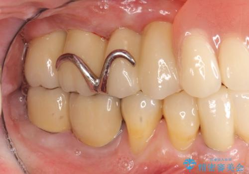
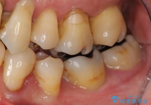
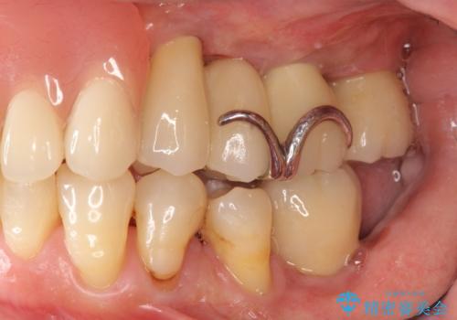
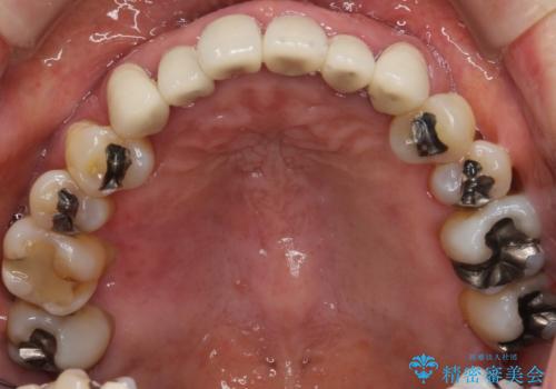
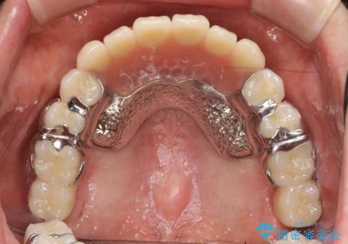
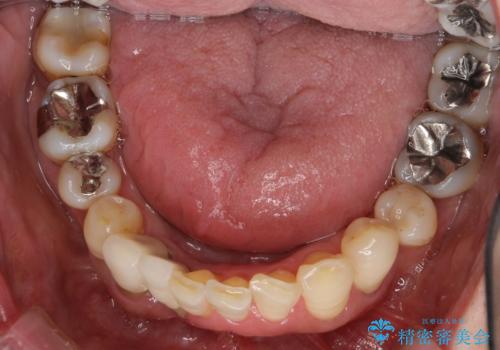
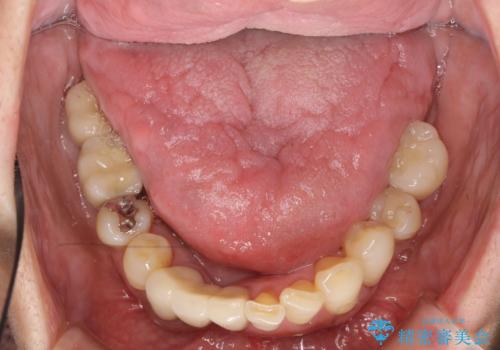
- 歯が全体的にグラグラし、しっかりと物が噛めなくなり歯周病治療を希望され来院されました。
残すことのできる歯、残すことのできない歯を初期治療を進めながら見極め、最終的に臼歯部はインプラント、上顎前歯は入れ歯による補綴計画となりました。
- 費用(概算)
- 400万円費用は治療当時の料金となります
歯周病全顎治療について
全体的な歯周病治療の成功には禁煙や高いプラークコントロールなど患者さん自身の努力も不可欠です。
歯周病治療の注意事項(リスク・副作用など)
- 外科手術のため、術後に痛みや腫れ、違和感を伴います
- 歯周組織再生治療は患者様の状態によって術後の経過が異なります(見た目が改善しない場合もあります)
- 歯周組織再生治療は自費診療(保険適用外)となります
セラミック治療の注意事項(リスク・副作用など)
- 天然歯を削ります
- 硬い素材は天然歯を傷つけてしまう場合があります
- かみ合わせや歯ぎしりが強すぎる方はセラミックが割れてしまう可能性があります
- 自費診療(保険適用外治療)となります
入れ歯の注意事項(リスク・副作用など)
- ブリッジやインプラントと比較して、色が合いづらい、見た目の違和感があります
- ブリッジやインプラントと比較して、話しにくい、舌が当たる等の違和感があります
- 慣れるまで微調整で何度か通って頂くことがあります
- 就寝時や食後に毎回取り外して、清掃する必要があります
- 自費診療(保険適用外)となります
インプラント治療の注意事項(リスク・副作用など)
- 外科手術のため、術後に痛みや腫れ、違和感を伴います
- メンテナンスを怠ったり喫煙により、お口の中に大きな悪影響を及ぼすインプラント周囲炎等にかかる可能性があります
- 糖尿病、肝硬変、心臓病等の場合、インプラント治療ができない可能性があります
- 高血圧、貧血・不整脈等の場合、インプラント治療後に治癒不全を招く可能性があります
- 自費診療(保険適用外治療)となります
当サイトの内容、テキスト、画像等の無断転載、複製、複写、盗用を固く禁じます。












