症例詳細
Case detail
10年ぶりの歯科医院への来院
治療症例の内容
- 診療科目
- 治療カテゴリ
- 患者様
- 20代男性
- 治療期間
- 1日
- 治療回数
- 1回
- 治療計画
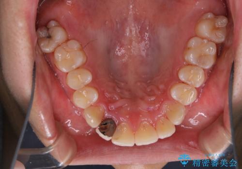
- 10年ぶりの歯科とのことで、全体の検診希望で来院されました。レントゲン撮影、歯周ポケット検査、ブラッシング指導、クリーニングを行いました。
今回はお口全体にプラーク(細菌の塊)、歯石、着色(ステイン)が付着していたため、検査後、歯科衛生士による専門的自費のPMTC(クリーニング)60分コースを行いました。
- 費用(概算)
- 1万円+TAX(1時間)費用は治療当時の料金となります
治療について
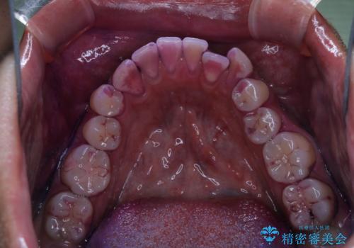
まずは、お口全体の染め出しをし、どこに汚れや磨き残しが多くついているかを明確にしました。その後、普段の歯磨きの仕方の確認や、ブラッシング指導をしました。
10年ぶりの歯科医院へ来院とのことで全体的に汚れ(バイオフィルムや着色)が多く付着してたため、自費クリーニングPMTC60分コース10000+TAXを行いました。
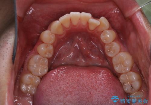
バイオフィルムやステインを取り除くと、ご自身本来の歯の色となります。
施術後はとてもスッキリとした爽快感が得られ、定期的に行うことで、虫歯・歯周病・口臭予防にもなります。
PMTCの注意事項について
歯を白くするための施術ではありません。
自費診療(保険適応外)です。
担当歯科衛生士
表参道しらゆり歯科 西澤
PMTCの注意事項(リスク・副作用など)
- 歯を白くする目的の施術ではありません
- 保険適用外となります
当サイトの内容、テキスト、画像等の無断転載、複製、複写、盗用を固く禁じます。














