症例詳細
Case detail
前歯の歯肉退縮 歯周形成外科(歯冠側移動術)
治療症例の内容
- 診療科目
- 治療カテゴリ
- 担当医
- 河口智英(ドクタープロフィール)
- 患者様
- 20代女性
- 治療期間
- 2ヶ月
- 治療回数
- 2-5回
- 治療計画
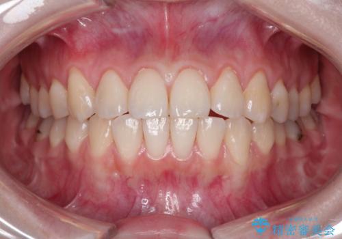
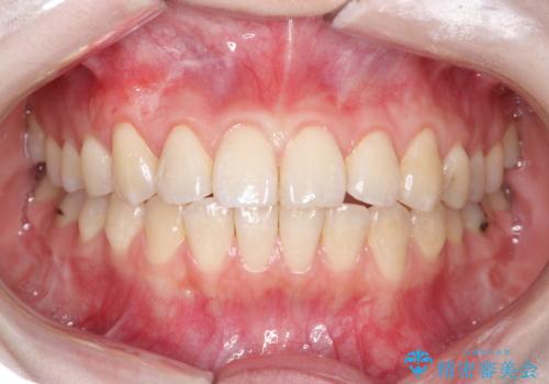
- 上顎左側側切歯の歯肉退縮を主訴に来院されました。
生活に支障はないが審美的要求が強く歯肉形成外科(歯冠側移動術)を行うこととしました。
- 費用(概算)
- 5万円費用は治療当時の料金となります
治療について
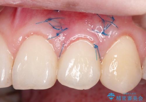
根面被覆術には結合組織を用いる場合もありますが、今回のケースでは、角化歯肉が十分あり、審美性の要件が強いため、隣在歯との調和が取りやすい歯冠側移動術のみで対応しております。
結合組織を使用するメリットは術後の後戻りのリスクを減らすことが考えられます。
歯周病治療の注意事項(リスク・副作用など)
- 外科手術のため、術後に痛みや腫れ、違和感を伴います
- 歯周組織再生治療は患者様の状態によって術後の経過が異なります(見た目が改善しない場合もあります)
- 歯周組織再生治療は自費診療(保険適用外)となります
当サイトの内容、テキスト、画像等の無断転載、複製、複写、盗用を固く禁じます。









