症例詳細
Case detail
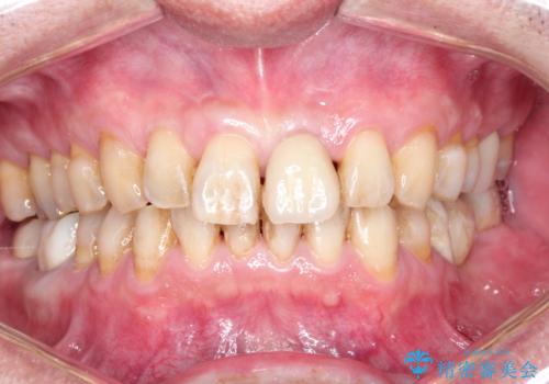
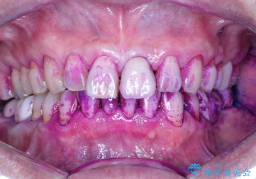
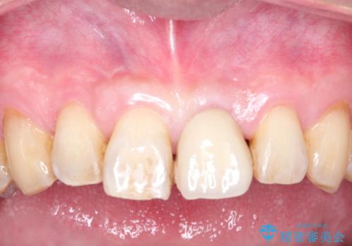
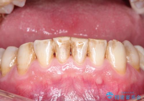
ステインによる歯の着色
治療症例の内容
- 診療科目
- 治療カテゴリ
- 患者様
- 50代男性
- 治療期間
- 1日
- 治療回数
- 1回
- 治療計画
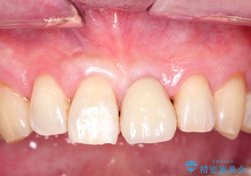
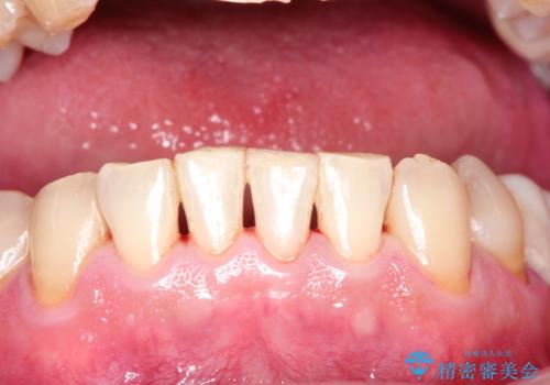
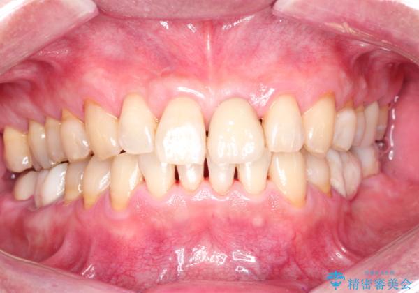
- 日頃の積み重なった茶渋・着色をエアフローにてクリーニングしました。
- 費用(概算)
- 12000円+TAX (PMTC“エアフロー”60分コース)費用は治療当時の料金となります
治療について
歯についている茶しぶやタバコによるヤニは着色を落とす専用器具を使用しないと綺麗に取り除くことはできません。
歯の表面に着色が付いて黄ばんで見えることがあるため、PMTCを行うとご自身の歯本来の色味にすることができます。
定期的にPMTCを行うことで綺麗な状態を維持することができます。
エアフローとは
エアフローはお水と強圧の風と細かいパウダーでお掃除していきます。
そのため、ブラシでは届きにくかった歯と歯の間の汚れをより落とすことが可能になります。
担当歯科衛生士
六本木しらゆり歯科 DH椎名
PMTCの注意事項(リスク・副作用など)
- 歯を白くする目的の施術ではありません
- 保険適用外となります
当サイトの内容、テキスト、画像等の無断転載、複製、複写、盗用を固く禁じます。










