症例詳細
Case detail
喫煙による歯にこびりついたステインの除去
治療症例の内容
- 診療科目
- 治療カテゴリ
- 患者様
- 20代男性
- 治療期間
- 1日
- 治療回数
- 1回
- 治療計画
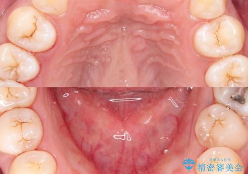
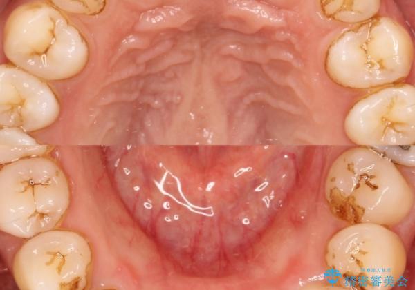
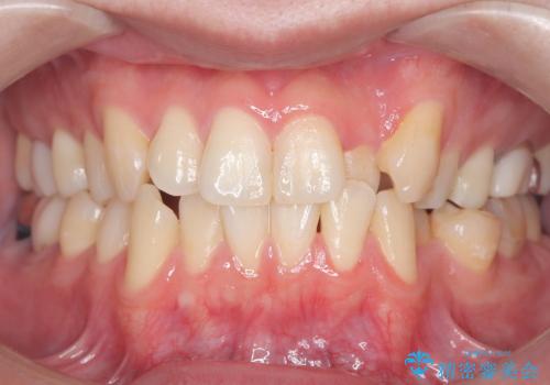
- 毎日の喫煙による着色を気にして来院されました。前歯から奥歯まで広い範囲で着色が認められたため、歯科衛生士による専門的な機械を使用したPMTC(自費クリーニング)を行いました。
- 費用(概算)
- 1万円+tax(1時間)費用は治療当時の料金となります
治療について
歯科衛生士による、歯石や着色除去の前後写真です。
自費クリーニングPMTC
60分コース¥10000+TAX
PMTCは30分¥5000+TAX(主に前歯のみ)と60分¥10000+TAX(全体的に奥歯から前歯まで)のコースがあります。
歯石、着色の程度など場合により60分コースでも取り切れない場合があります。
歯石や着色を取ることにより歯周病や虫歯の早期発見につながります。
PMTCの注意事項について
歯を白くするための施術ではありません。
専用の機械、材料を使用するため自費診療(保険適応外)です。
担当歯科衛生士
表参道しらゆり歯科 西澤
PMTCの注意事項(リスク・副作用など)
- 歯を白くする目的の施術ではありません
- 保険適用外となります
当サイトの内容、テキスト、画像等の無断転載、複製、複写、盗用を固く禁じます。


