症例詳細
Case detail
前歯の歯肉退縮 歯肉移植による根面被覆
治療症例の内容
- 診療科目
- 治療カテゴリ
- 担当医
- 藤巻太一朗(ドクタープロフィール)
- 患者様
- 40代女性
- 治療期間
- 3ヶ月
- 治療回数
- 2-5回
- 治療計画
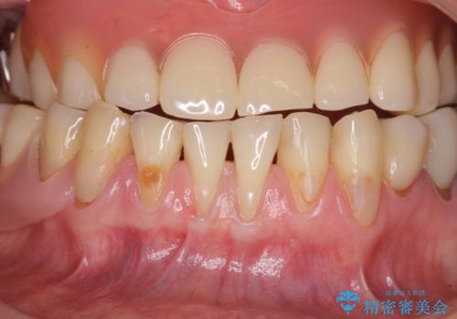
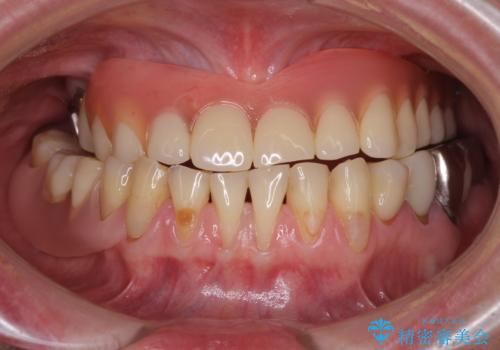
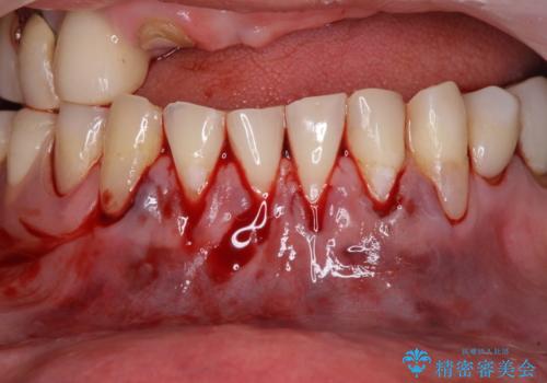
- 咬み合わせにより下の前歯の歯肉が退縮してしまい、根が見えていることが気になるとのことで来院された患者様です。
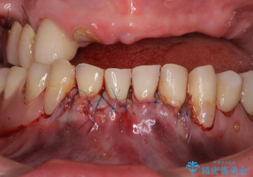
歯肉退縮に対して、上顎からの結合組織移植術(CTG)により、歯根の被覆を行うとともに、歯肉の厚みを増すことで将来の退縮リスクを抑制することとしました。
被覆量が不十分の場合には、追加で手術を行うことで患者様の了解を得ました。
- 費用(概算)
- 治療費の目安: 15万円費用は治療当時の料金となります
治療について
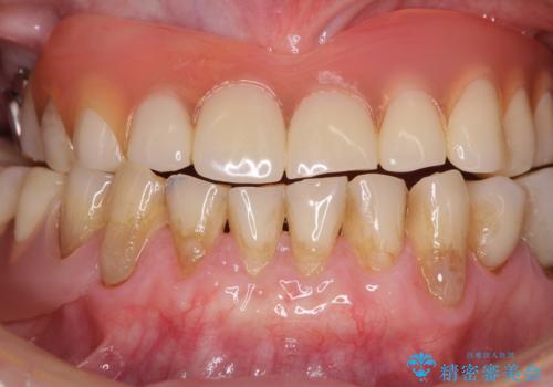
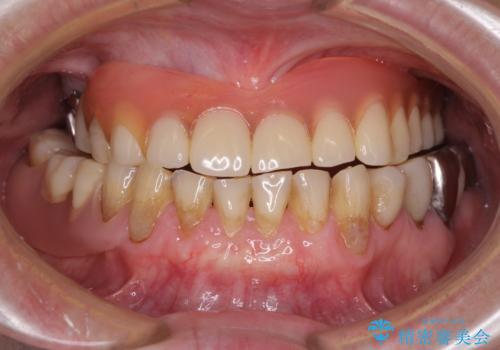
歯肉が大変薄かったため、歯肉移植による根面被覆の効果はそれほど高くないように思われましたが、想像以上に歯肉の位置を回復させることができました。
歯肉の厚みも十分に獲得でき、患者様には大変満足していただきました。
歯周病治療の注意事項(リスク・副作用など)
- 外科手術のため、術後に痛みや腫れ、違和感を伴います
- 歯周組織再生治療は患者様の状態によって術後の経過が異なります(見た目が改善しない場合もあります)
- 歯周組織再生治療は自費診療(保険適用外)となります
当サイトの内容、テキスト、画像等の無断転載、複製、複写、盗用を固く禁じます。










