症例詳細
Case detail
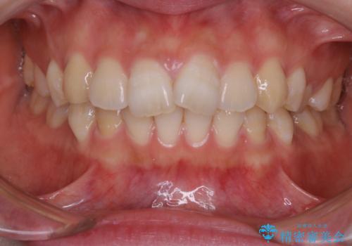
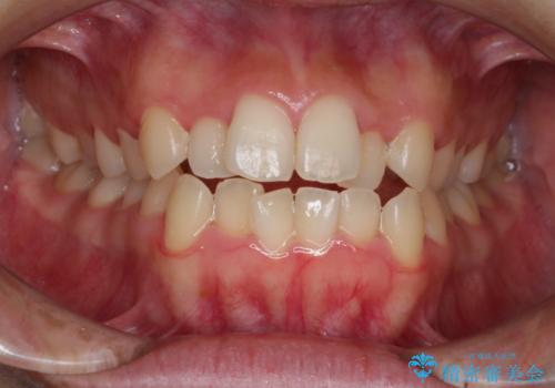
50代女性 マウスピース矯正 ディープバイト
治療症例の内容
- 診療科目
- 治療カテゴリ
- 担当医
- 患者様
- 50代女性
- 矯正装置
- マウスピース
- 治療期間
- 1年1ヶ月
- 治療回数
- 10-30回
- 治療計画
- インビザラインシステムに準じた順序で治療をすすめます。
- 費用(概算)
- 75万円費用は治療当時の料金となります
治療について①
ディープバイト症例に対するinvisalign矯正の一例です。
マウスピースそのものが咬合挙上の役割を併担してくれるため、ディープバイトはマウスピース矯正の好適用といえるかもしれません。
invisalign G5 がこれに相当するシステムです。
しかし、マウスピースの長期間使用により奥歯の咬み合わせが甘くなっており、今後保定の方法を工夫することでフォローしていく必要がありそうですね。
非常に真面目に装着していただき、追加アライナーなしでの動的治療終了となりました。
治療について②
ディープバイトを改善するということは、当然奥歯の咬み合わせが相対的に高くなる or 前歯の咬み合わせが相対的に浅くなる、あるいはその両方によって達成されます。
マウスピースの使用による奥歯の咬み合わせの緩圧化は、これと相反する現象ですから、後戻りの観点からも一層注意深いフォローアップが必要かと思われます。
また、今回下顎はそれなりの叢生量がありましたが(ガタつきがけっこうあったが)、歯と歯の間を削ることなくコンピューターシュミレーションを組みました。
これにより、歯を削ることなくきれいに並べることはできたものの、下顎に対する下の前歯の角度がやや大きな仕上がりとなりました。
マウスピース矯正の注意事項(リスク・副作用など)
- 口腔内・歯並びの状態によっては対応できない場合があります
- マウスピース型矯正装置の長時間装着(1日20時間以上)が必須です
- 治療計画通りに進めるためには、患者様の意志が重要になります
- 矯正治療後の保定が不十分だと後戻り(元の位置に戻ろうとする動き)をします
- 薬機法対象外の矯正歯科装置のため医薬品副作用被害救済制度の対象外となる場合があります
- 自費診療(保険適用外)となります
当サイトの内容、テキスト、画像等の無断転載、複製、複写、盗用を固く禁じます。






























