症例詳細
Case detail
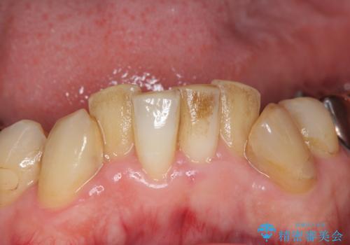
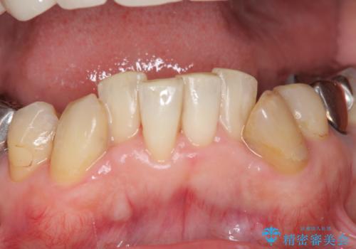
付着したステインをPMTCで除去
治療症例の内容
- 診療科目
- 治療カテゴリ
- 患者様
- 40代男性
- 治療期間
- 1日
- 治療回数
- 1回
- 治療計画
- お茶で着色した歯をきれいにしたいとのことで来院されました。
歯についた茶しぶを専用のペーストで磨くことにより歯本来の白さを取り戻したのち、今後汚れがつきにくいようツルツルに磨き上げていきます。
- 費用(概算)
- ¥5,000(税抜)費用は治療当時の料金となります
PMTC(30分コース)
PMTC(歯科医院で行うプロフェッショナルクリーニング)を、行うことで茶しぶを取り除き汚れのつきにくいツルツルの歯にすることができます。
担当歯科衛生士
横浜桜木町歯科 DH進藤
PMTCの注意事項(リスク・副作用など)
- 歯を白くする目的の施術ではありません
- 保険適用外となります
当サイトの内容、テキスト、画像等の無断転載、複製、複写、盗用を固く禁じます。


