症例詳細
Case detail
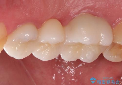
根管治療からのオールセラミックブリッジ装着
治療症例の内容
- 診療科目
- 治療カテゴリ
- 担当医
- 患者様
- 40代女性
- 治療期間
- 2ヶ月
- 治療回数
- 2-5回
- 治療計画
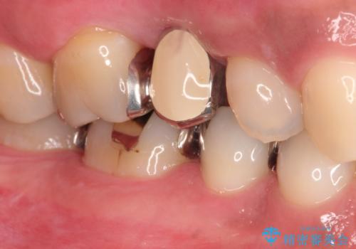
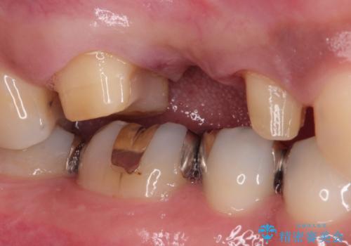
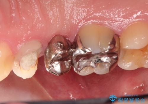
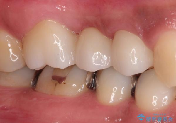
- 他院で治療途中の歯を当院でしっかり治したいとのことで来院されました。
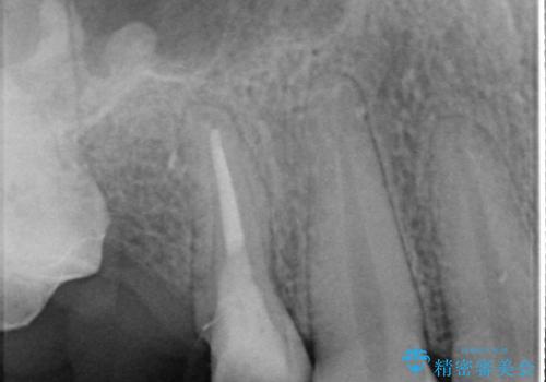
右上のブリッジが途中で切断されて、手前の歯が根の治療の途中でした。
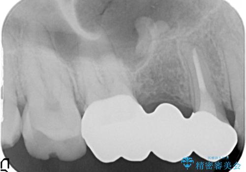
根の治療を行いその後にオールセラミックブリッジを装着する計画となりました。
- 費用(概算)
- 約33万円費用は治療当時の料金となります
治療について
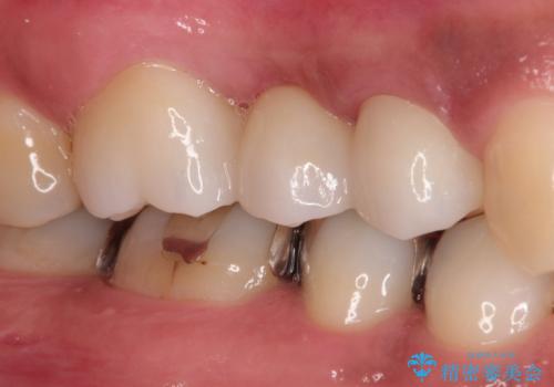
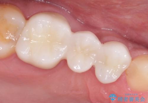
以前は保険治療で作られた金属のブリッジを装着されていましたが、オールセラミックブリッジを装着することにより、審美的にも改善されました。
セラミック治療の注意事項(リスク・副作用など)
- 天然歯を削ります
- 硬い素材は天然歯を傷つけてしまう場合があります
- かみ合わせや歯ぎしりが強すぎる方はセラミックが割れてしまう可能性があります
- 自費診療(保険適用外治療)となります
当サイトの内容、テキスト、画像等の無断転載、複製、複写、盗用を固く禁じます。











