症例詳細
Case detail
[インプラントオーバーデンチャー] インプラントで奥歯を支える部分床義歯
治療症例の内容
- 担当医
- 大元洋佑(ドクタープロフィール)
- 患者様
- 50代男性
- 治療期間
- 1年6ヶ月
- 治療回数
- 10-30回
- 治療計画
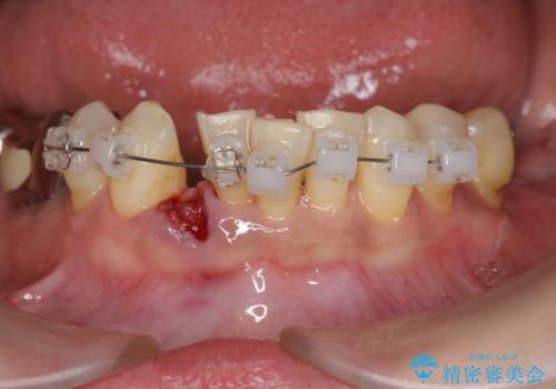
- 残った前歯のほとんどがグラグラし食事ができず、我慢の限界に達し治療を希望され来院されました。
今後しっかりとした食事を楽しめるような咬合機能を回復するために、奥歯はインプラントによる咬合機能回復を行い、前歯は入れ歯で審美性・機能性を回復していきます。
- 費用(概算)
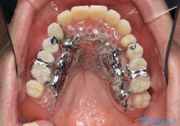
- 250万円(ストローマンインプラント×5・骨造成・チタンカスタムアバットメント×5・ジルコニアクラウン×7・金属床部分床義歯)費用は治療当時の料金となります
臼歯インプラント支台 前歯部分床義歯治療について
奥歯は取り外しの必要のないインプラント補綴を行うことでしっかりと食事を行うことができます。
また前歯の部分床義歯も奥歯部分のインプラント支台クラウンで支えることによりずれたりはずれたりすることなくしっかりと噛むことができます。
インプラント治療の注意事項(リスク・副作用など)
- 外科手術のため、術後に痛みや腫れ、違和感を伴います
- メンテナンスを怠ったり喫煙により、お口の中に大きな悪影響を及ぼすインプラント周囲炎等にかかる可能性があります
- 糖尿病、肝硬変、心臓病等の場合、インプラント治療ができない可能性があります
- 高血圧、貧血・不整脈等の場合、インプラント治療後に治癒不全を招く可能性があります
- 自費診療(保険適用外治療)となります
入れ歯の注意事項(リスク・副作用など)
- ブリッジやインプラントと比較して、色が合いづらい、見た目の違和感があります
- ブリッジやインプラントと比較して、話しにくい、舌が当たる等の違和感があります
- 慣れるまで微調整で何度か通って頂くことがあります
- 就寝時や食後に毎回取り外して、清掃する必要があります
- 自費診療(保険適用外)となります
当サイトの内容、テキスト、画像等の無断転載、複製、複写、盗用を固く禁じます。

![[インプラントオーバーデンチャー] インプラントで奥歯を支える部分床義歯の治療前](https://seimitsushinbi.jp/wp/wp-content/uploads/2020/05/79f644293d350fd31fb63c7afa8d4763-500x350.jpg?v=1590579941)
![[インプラントオーバーデンチャー] インプラントで奥歯を支える部分床義歯の治療中](https://seimitsushinbi.jp/wp/wp-content/uploads/2020/05/de21ad4a93f89e2dc7d0d8e465f48ebe-500x350.jpg?v=1590579780)
![[インプラントオーバーデンチャー] インプラントで奥歯を支える部分床義歯の治療後](https://seimitsushinbi.jp/wp/wp-content/uploads/2020/05/964966d14f9a29d4be64de2323b493a3-500x350.jpg?v=1590579837)
![[インプラントオーバーデンチャー] インプラントで奥歯を支える部分床義歯の治療前](https://seimitsushinbi.jp/wp/wp-content/uploads/2020/05/P1.1-500x350.jpg?v=1590580031)
![[インプラントオーバーデンチャー] インプラントで奥歯を支える部分床義歯の治療中](https://seimitsushinbi.jp/wp/wp-content/uploads/2020/05/b2992fccd5dadda99f93b8e43beb2a13-500x350.jpg?v=1590579802)
![[インプラントオーバーデンチャー] インプラントで奥歯を支える部分床義歯の治療後](https://seimitsushinbi.jp/wp/wp-content/uploads/2020/05/P8.1-500x350.jpg?v=1590580033)
![[インプラントオーバーデンチャー] インプラントで奥歯を支える部分床義歯の治療前](https://seimitsushinbi.jp/wp/wp-content/uploads/2020/05/IMG_0001-5-500x350.jpg?v=1590579925)
![[インプラントオーバーデンチャー] インプラントで奥歯を支える部分床義歯の治療中](https://seimitsushinbi.jp/wp/wp-content/uploads/2020/05/b8ced9b39b77f4185682a17840c92188-500x350.jpg?v=1590579818)
![[インプラントオーバーデンチャー] インプラントで奥歯を支える部分床義歯の治療後](https://seimitsushinbi.jp/wp/wp-content/uploads/2020/05/9b8889a71f12a5b15b0f0a9dd527ed36-500x350.jpg?v=1590580536)
![[インプラントオーバーデンチャー] インプラントで奥歯を支える部分床義歯の治療前](https://seimitsushinbi.jp/wp/wp-content/uploads/2020/05/P3.1-500x350.jpg?v=1590580032)