症例詳細
Case detail
ホワイトニングで白い歯に 1日でできます
治療症例の内容
- 診療科目
- 治療カテゴリ
- 患者様
- 40代女性
- 治療期間
- 1日
- 治療回数
- 1回
- 治療計画
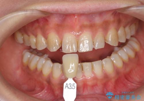
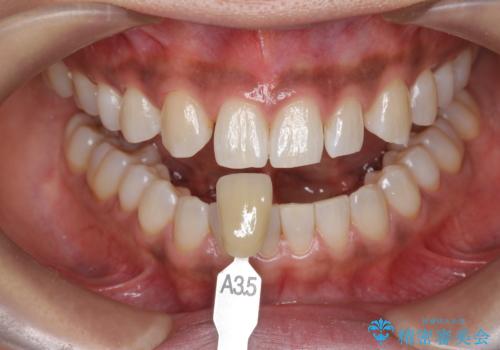
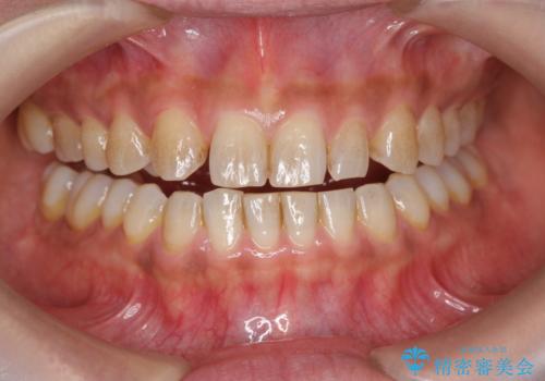
- 着色、歯の色が気になると来院。
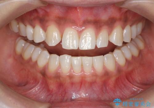
PMTC(クリーニング)で着色を落とした後に、オフィスホワイトニング(エクセレントコース)で3回照射を施術しました。
- 費用(概算)
- オフィスホワイトニング¥27000(税別)+PMTC¥5000(税別)費用は治療当時の料金となります
治療について
この白さをキープするにはご自宅でのホームホワイトニングの併用をお勧めします。
担当歯科衛生士
横浜桜木町歯科 DH田中
ホワイトニングの注意事項(リスク・副作用など)
- 知覚過敏が出ることがあります
- ホワイトバンドや白い斑点が出ることがあります
- クラウンやインレー等の補綴物には効果がありません
- ホワイトニングによる効果や持続期間には個人差があります
- 歯牙の状態によっては適応できないことがあります
- 保険適用外となります
PMTCの注意事項(リスク・副作用など)
- 歯を白くする目的の施術ではありません
- 保険適用外となります
当サイトの内容、テキスト、画像等の無断転載、複製、複写、盗用を固く禁じます。






