症例詳細
Case detail
奥歯の虫歯 セラミックインレーに
治療症例の内容
- 診療科目
- 治療カテゴリ
- 担当医
- 井上季実子(ドクタープロフィール)
- 患者様
- 20代男性
- 治療期間
- 1ヶ月
- 治療回数
- 2-5回
- 治療計画
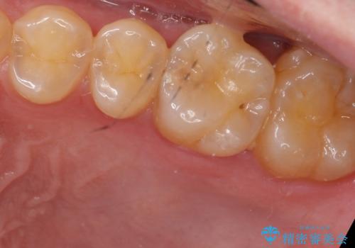
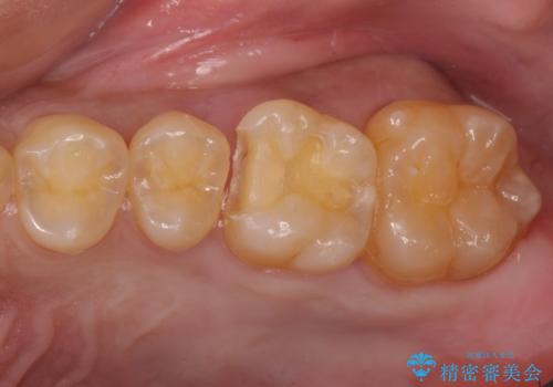
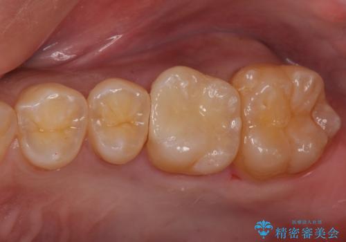
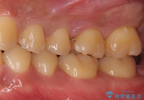
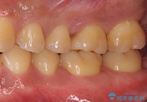
- 奥歯が虫歯になっていたため、セラミックインレーで修復しています。
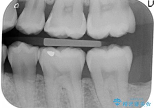
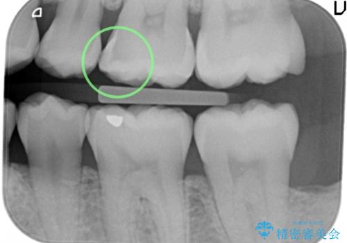
治療前の写真では虫歯はわかりにくいですが、レントゲンではっきり見えます。
虫歯は外の入り口は小さいままで、中で広がっていることが多いため、要注意です。
- 費用(概算)
- 7万円(左上7 emaxプレスインレー 7万円)費用は治療当時の料金となります
治療について
口の中を目で見てわかるレベルの虫歯ですと、進行してしまっています。
虫歯はレントゲンを取らないと、発見できません。
歯科検診はあくまで余程の状態のスクリーニングですので、きちんとレントゲンを定期的にとって、早期に治療することが重要です。
セラミック治療の注意事項(リスク・副作用など)
- 天然歯を削ります
- 硬い素材は天然歯を傷つけてしまう場合があります
- かみ合わせや歯ぎしりが強すぎる方はセラミックが割れてしまう可能性があります
- 自費診療(保険適用外治療)となります
当サイトの内容、テキスト、画像等の無断転載、複製、複写、盗用を固く禁じます。








