症例詳細
Case detail
目立つ銀歯を全て白く セラミックで虫歯治療
治療症例の内容
- 診療科目
- 治療カテゴリ
- 担当医
- 井上季実子(ドクタープロフィール)
- 患者様
- 40代女性
- 治療期間
- 1ヶ月
- 治療回数
- 2-5回
- 治療計画
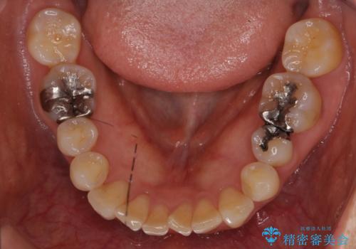
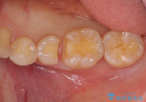
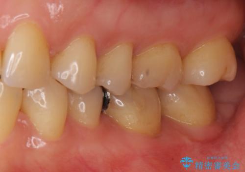
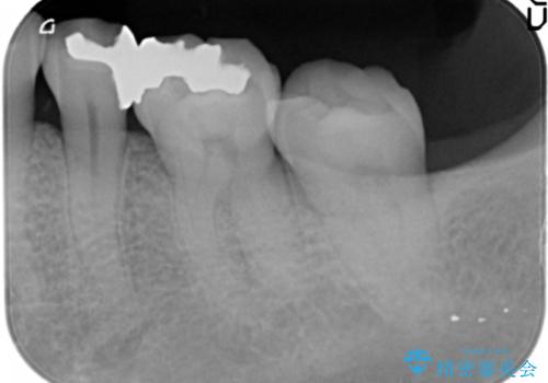
- 銀の詰め物が気になるとのことで来院。
2本隣り合っているつめものを、同時にやりかえをしました。
- 費用(概算)
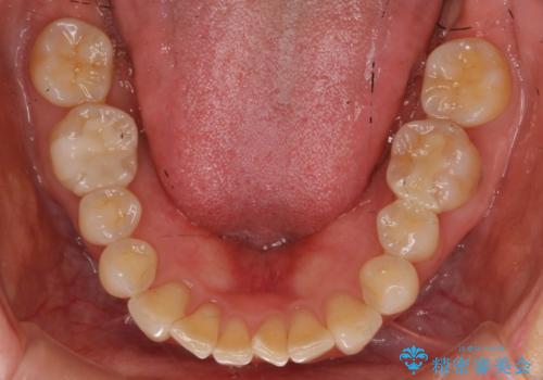
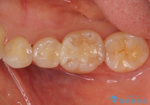
- 14万円(左下5・左下6 emaxプレスインレー 7万円 x 2)費用は治療当時の料金となります
治療について
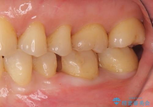
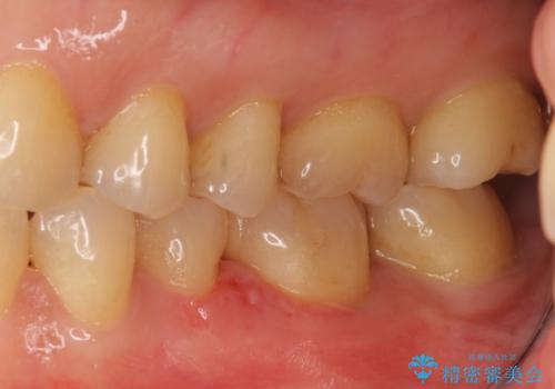
向かい合う銀歯を同時にやり変えることで、コンタクト(歯と歯の間の形)を理想的に仕上げることができ、ものも挟まりにくいように仕上げることができます。
セラミック治療の注意事項(リスク・副作用など)
- 天然歯を削ります
- 硬い素材は天然歯を傷つけてしまう場合があります
- かみ合わせや歯ぎしりが強すぎる方はセラミックが割れてしまう可能性があります
- 自費診療(保険適用外治療)となります
当サイトの内容、テキスト、画像等の無断転載、複製、複写、盗用を固く禁じます。










