症例詳細
Case detail
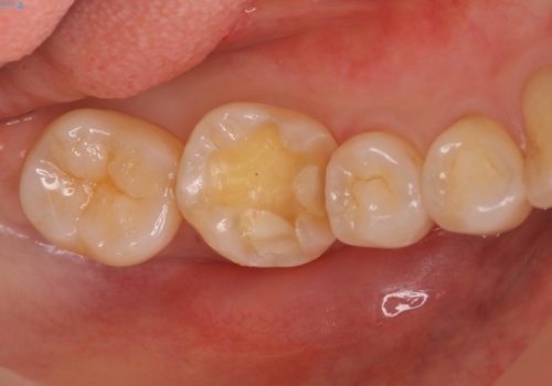
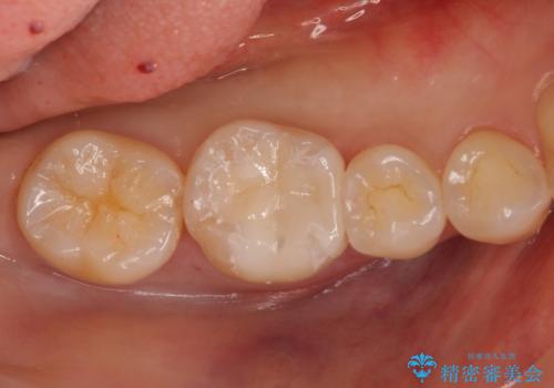
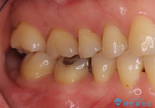
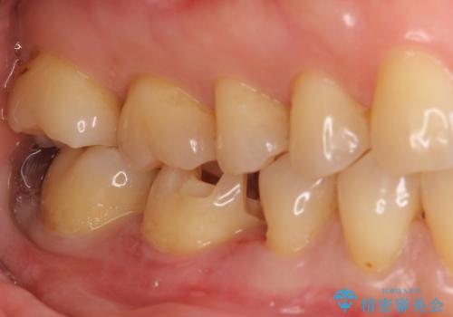
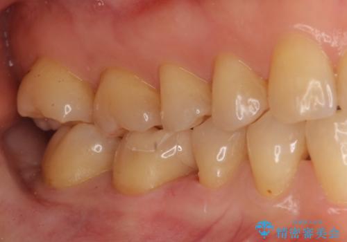
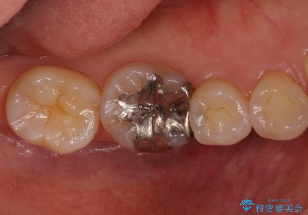
銀歯を白く セラミックインレーに
治療症例の内容
- 診療科目
- 治療カテゴリ
- 担当医
- 井上季実子(ドクタープロフィール)
- 患者様
- 40代女性
- 治療期間
- 1ヶ月
- 治療回数
- 2-5回
- 治療計画
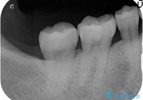
- 銀歯にしたのが20年以上前とのことで、白くやりかえたいということでした。
セラミックインレーにしています。
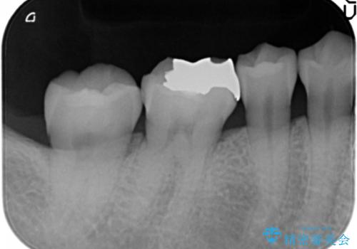
- 費用(概算)
- 7万円(左下6 emaxプレスインレー 7万円)費用は治療当時の料金となります
治療について
銀歯を外して、下に虫歯があればしっかり取ります。しみるなどの症状が出る前がおすすめです。
セラミック治療の注意事項(リスク・副作用など)
- 天然歯を削ります
- 硬い素材は天然歯を傷つけてしまう場合があります
- かみ合わせや歯ぎしりが強すぎる方はセラミックが割れてしまう可能性があります
- 自費診療(保険適用外治療)となります
当サイトの内容、テキスト、画像等の無断転載、複製、複写、盗用を固く禁じます。








