症例詳細
Case detail
下の奥歯の虫歯 歯周外科手術を含めた治療
治療症例の内容
- 診療科目
- 治療カテゴリ
- 担当医
- 井上季実子(ドクタープロフィール)
- 患者様
- 40代男性
- 治療期間
- 8ヶ月
- 治療回数
- 5-10回
- 治療計画
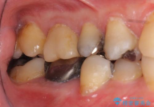
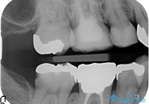
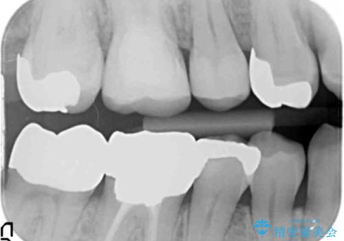
- 右下奥の銀歯の下が虫歯になっていました。
歯ぐきの下までしっかり修復するために、歯周外科手術を含めた治療を行いました。
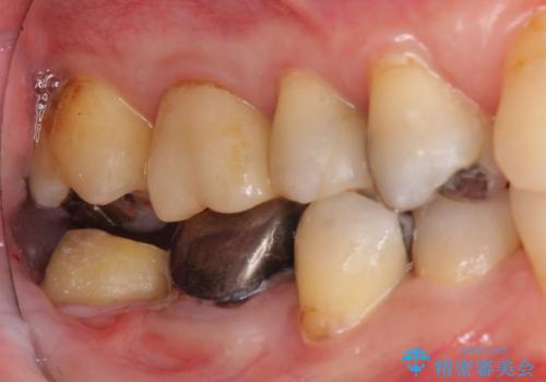
⑴虫歯除去し、仮歯とする
⑵歯周外科手術
⑶5−6か月待つ
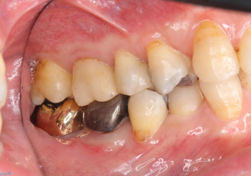
⑷最終形成、歯型とり
⑸クラウン装着
- 費用(概算)
- 19万円(右下7 仮歯1万円、PGAクラウン 8万円、歯周外科手術(APF)10万円)費用は治療当時の料金となります
治療について
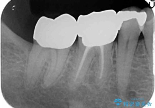
歯ぐきの中まで虫歯の場合は、まず、虫歯も取りきることが難しいです。
また、被せ物のきわを歯ぐき深くに設定してしまうことになり、正確な歯型がそのままでは取れません。また、歯ぐきのみを取り除いても一時的な処置となり、また歯ぐきが再生してしまうため、最終的には歯ぐきの腫れが治りません。
今回は、歯周外科手術を行い、歯ぐきの厚みを薄くし、また、歯槽骨の高さも整えて、歯周環境を整えました。
そうすることで、正確に歯型もとれ、精密なクラウンが製作でき、再度虫歯になる可能性を低くできます。
もちろん、継続的なブラッシングや虫歯になりにくい食生活も合わせて必要です。
PGA(ゴールド)クラウン、インレーの注意事項(リスク・副作用など)
- インレーおよびクラウンは脱離するリスクがあります
- 形成量はセラミックより少ないですが、歯の形成、修復後に歯に症状が出ることがあります
- 自費診療(保険適用外治療)となります
歯周病治療の注意事項(リスク・副作用など)
- 外科手術のため、術後に痛みや腫れ、違和感を伴います
- 歯周組織再生治療は患者様の状態によって術後の経過が異なります(見た目が改善しない場合もあります)
- 歯周組織再生治療は自費診療(保険適用外)となります
当サイトの内容、テキスト、画像等の無断転載、複製、複写、盗用を固く禁じます。













