症例詳細
Case detail
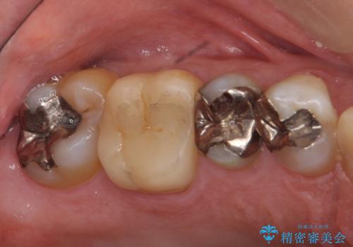
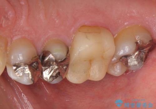
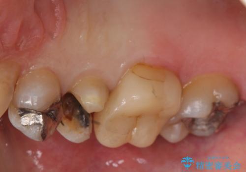
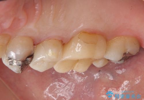
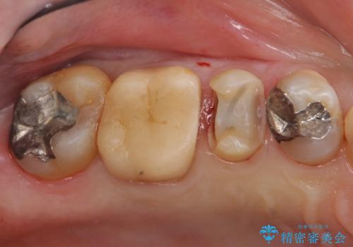
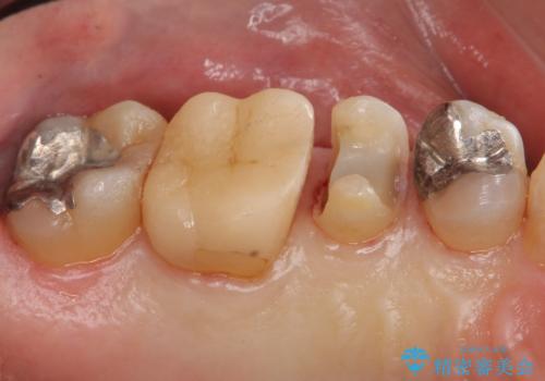
銀歯の下が虫歯 セラミックインレーに
治療症例の内容
- 診療科目
- 治療カテゴリ
- 担当医
- 井上季実子(ドクタープロフィール)
- 患者様
- 40代男性
- 治療期間
- 1ヶ月
- 治療回数
- 2-5回
- 治療計画
- 銀歯の下が虫歯になっていたため、虫歯を取り、セラミックインレーで修復しました。
見るだけでは、わかりにくいのでしっかりレントゲンを診てもらえるような定期検診が大事です。
- 費用(概算)
- emaxプレスインレー 7万円費用は治療当時の料金となります
治療について
銀歯が合っていないなどは、見た目だけではわかりにくいことがあります。
早めに見つけて、症状が出る前に治すことが大事です。
歯科医師にレントゲンをしっかり診てもらうことが重要です。
セラミック治療の注意事項(リスク・副作用など)
- 天然歯を削ります
- 硬い素材は天然歯を傷つけてしまう場合があります
- かみ合わせや歯ぎしりが強すぎる方はセラミックが割れてしまう可能性があります
- 自費診療(保険適用外治療)となります
当サイトの内容、テキスト、画像等の無断転載、複製、複写、盗用を固く禁じます。










