症例詳細
Case detail
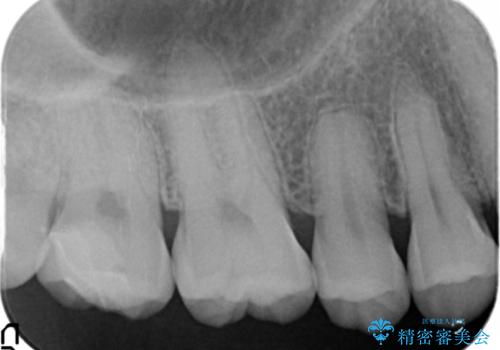
深い虫歯 丁寧にう蝕を除去し神経を保存 30代男性
治療症例の内容
- 診療科目
- 治療カテゴリ
- 担当医
- 患者様
- 30代男性
- 治療期間
- 1ヶ月
- 治療回数
- 2-5回
- 治療計画
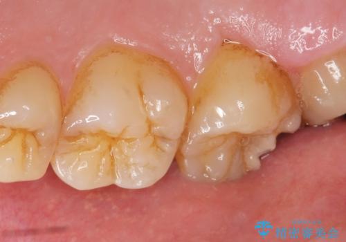
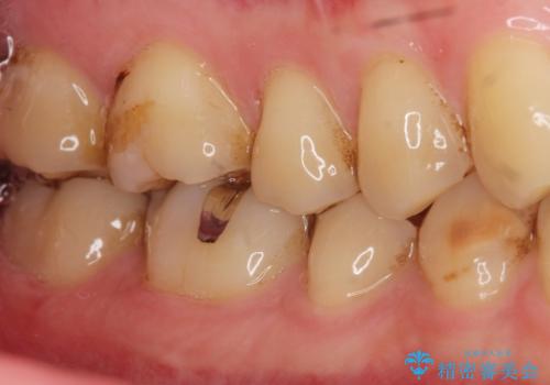
- 奥歯に食べ物がはさまることを主訴に来院された患者様です。
精査したところ、神経近くに及ぶ大きなう蝕を認めました。
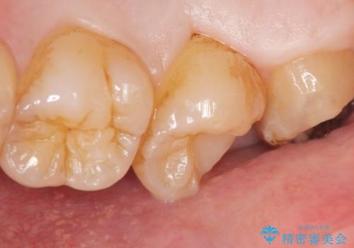
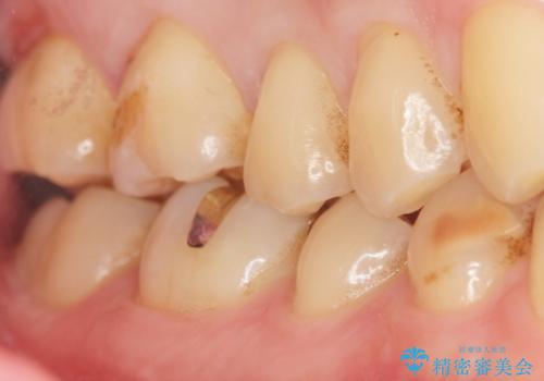
神経をとらずに済むよう丁寧にう蝕を除去したのち、セラミックインレーで修復しました。
う蝕リスク軽減のため親知らずの抜歯をお勧めしましたが、ご希望されませんでした。
- 費用(概算)
- ¥70,000 (セラミックインレー)費用は治療当時の料金となります
治療について
自然な仕上がりと使用感にご満足頂けました。
患者様のQOLが上がり、他の歯の治療やホワイトニングもご希望されました。
セルフメンテナンスの重要性もご理解頂き、今後親知らずの抜歯も行う予定です。
詰め物の種類:セラミックインレー (e-max press)
セラミック治療の注意事項(リスク・副作用など)
- 天然歯を削ります
- 硬い素材は天然歯を傷つけてしまう場合があります
- かみ合わせや歯ぎしりが強すぎる方はセラミックが割れてしまう可能性があります
- 自費診療(保険適用外治療)となります
当サイトの内容、テキスト、画像等の無断転載、複製、複写、盗用を固く禁じます。













