症例詳細
Case detail
セラミックインレー 他院にて歯の神経治療が必要と言われた虫歯
治療症例の内容
- 診療科目
- 治療カテゴリ
- 担当医
- 患者様
- 30代女性
- 治療期間
- 治療回数
- 2-5回
- 治療計画
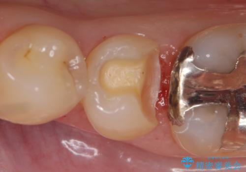
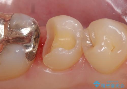
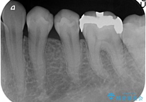
- 他院にて左下5の虫歯治療を行おうとしたところ、歯の神経治療をすると言われたため、できれば神経を残せないかと当院にいらっしゃった方の症例です。
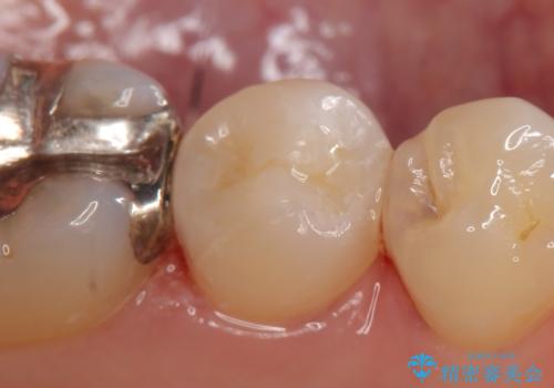
自発痛・持続痛等の症状がなく、露髄(歯の神経が露出してしまうこと)することなく虫歯の除去を完了したため、しばらく経過観察を行った後に神経治療をすることなく、セラミックインレーによる修復を行うことができました。
※神経治療となる可能性は事前にお話しした上で治療を行っております。
- 費用(概算)
- セラミックインレー…¥70,000費用は治療当時の料金となります
虫歯治療について
虫歯治療は虫歯の進行度によって処置が変わってきます。
虫歯が小さければ、インレー・クラウン等による修復・補綴処置を行うだけで済みます。
しかし虫歯が大きくなると神経処置や抜歯等をしなければならない場合もあります。
ですので虫歯治療においては早期発見・早期治療が肝要です。
セラミックインレーについて
当院のセラミックインレーはemaxという強度と審美性に優れた材料を使用しています。
またプレス方式でインレーを製作しているため、削り出しで製作するCADCAMより優れた適合性も持ち合わせており、虫歯が再発しにくい修復物です。
セラミック治療の注意事項(リスク・副作用など)
- 天然歯を削ります
- 硬い素材は天然歯を傷つけてしまう場合があります
- かみ合わせや歯ぎしりが強すぎる方はセラミックが割れてしまう可能性があります
- 自費診療(保険適用外治療)となります
当サイトの内容、テキスト、画像等の無断転載、複製、複写、盗用を固く禁じます。








