症例詳細
Case detail
インプラントで咬合機能を取り戻す
治療症例の内容
- 診療科目
- 治療カテゴリ
- 担当医
- 大元洋佑(ドクタープロフィール)
- 患者様
- 50代女性
- 治療期間
- 8ヶ月
- 治療回数
- 5-10回
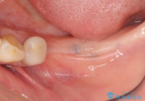
- 治療計画
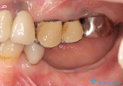
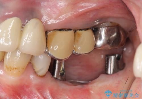
- 左下に長年使用した入れ歯が合わず、よりしっかりと噛みたいという希望で来院されました。
入れ歯をはずししっかりと噛む手段としてインプラント治療を進めていきます。
- 費用(概算)
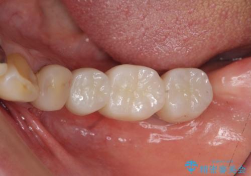
- 90万円(ストローマンインプラント×2・チタンカスタムアバットメント×2・ジルコニアクラウン×3)費用は治療当時の料金となります
インプラント治療について
インプラントを用いることで、たくさん失ってしまった奥歯を入れ歯よりもしっかりと噛む状態へと回復することができます。
インプラント治療の注意事項(リスク・副作用など)
- 外科手術のため、術後に痛みや腫れ、違和感を伴います
- メンテナンスを怠ったり喫煙により、お口の中に大きな悪影響を及ぼすインプラント周囲炎等にかかる可能性があります
- 糖尿病、肝硬変、心臓病等の場合、インプラント治療ができない可能性があります
- 高血圧、貧血・不整脈等の場合、インプラント治療後に治癒不全を招く可能性があります
- 自費診療(保険適用外治療)となります
当サイトの内容、テキスト、画像等の無断転載、複製、複写、盗用を固く禁じます。











