症例詳細
Case detail
下顎前歯の歯肉退縮 結合組織を用いた根面被覆
治療症例の内容
- 診療科目
- 治療カテゴリ
- 担当医
- 河口智英(ドクタープロフィール)
- 患者様
- 20代男性
- 治療期間
- 3ヶ月
- 治療回数
- 2-5回
- 治療計画
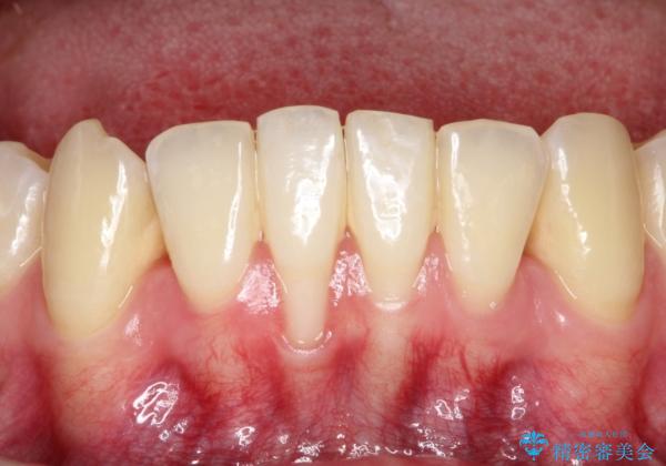
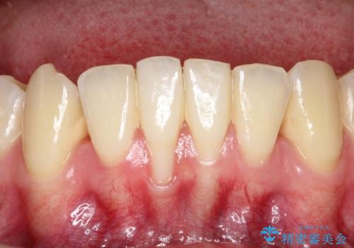
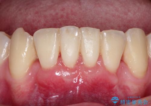
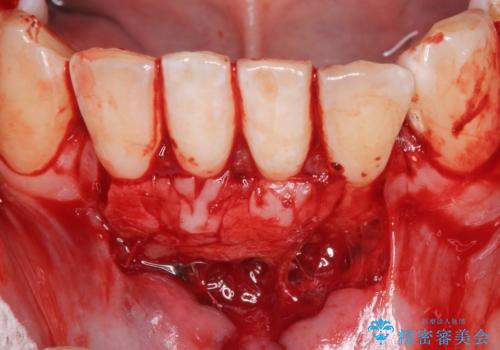
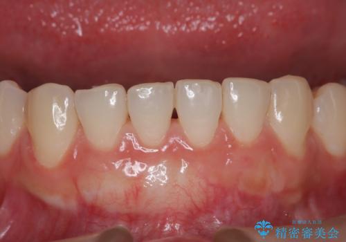
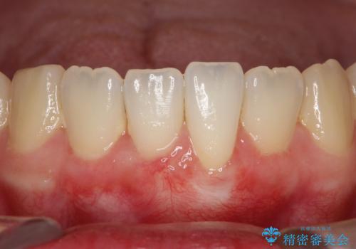
- 歯肉退縮を主訴に来院された患者様です。
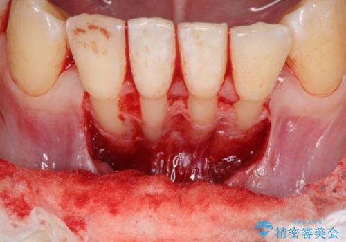
 口蓋から結合組織を採取して、根面被覆を行いました。
 十分な根面被覆を達成で患者様にも満足していただけました。
- 費用(概算)
- 10万円費用は治療当時の料金となります
治療について
手術後は3日~1週間ほど痛むことが一般的です。
根面被覆が可能かどうかはカウンセリングにて判断いたします。
歯周病治療の注意事項(リスク・副作用など)
- 外科手術のため、術後に痛みや腫れ、違和感を伴います
- 歯周組織再生治療は患者様の状態によって術後の経過が異なります(見た目が改善しない場合もあります)
- 歯周組織再生治療は自費診療(保険適用外)となります
当サイトの内容、テキスト、画像等の無断転載、複製、複写、盗用を固く禁じます。








 
                       
                                                          





 
                   
                   
                  