症例詳細
Case detail
奥歯の虫歯 セラミックインレーに
治療症例の内容
- 診療科目
- 治療カテゴリ
- 担当医
- 井上季実子(ドクタープロフィール)
- 患者様
- 20代男性
- 治療期間
- 1ヶ月
- 治療回数
- 2-5回
- 治療計画
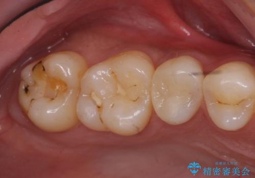
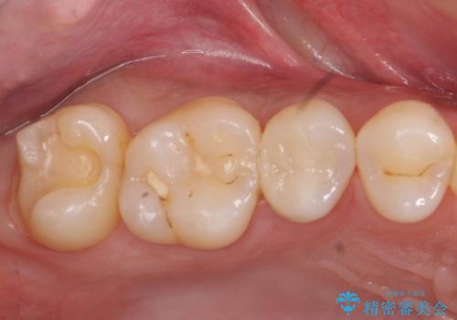
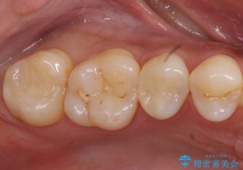
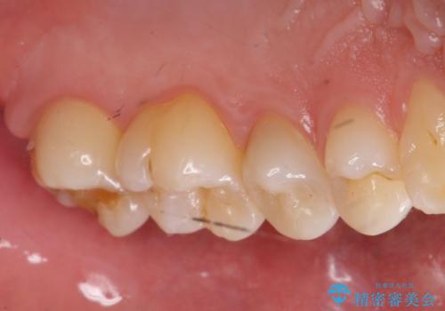
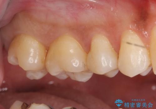
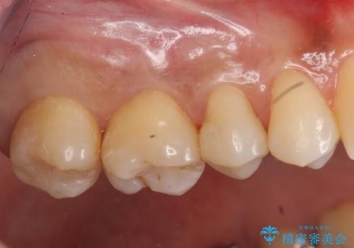
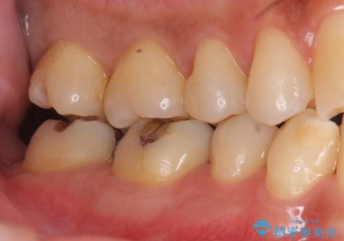
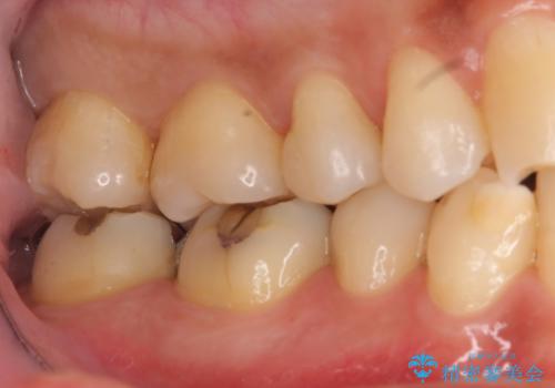
- 上の奥の虫歯をセラミックインレーで修復しました。
奥歯は力がかかるところであるので、保険適応の白い材料は必ず劣化し、2次う蝕(再度虫歯)になる可能性が非常に高いですので全くおすすめできません。
2次う蝕になり、治療を繰り返していると抜髄(神経を取らないといけない)の可能性が高まります。
治療前後の写真をお見せして説明したところ、非常に喜んでいただきました。
- 費用(概算)
- emaxインレー:7万円費用は治療当時の料金となります
治療について
特に自費のインレーの適合(歯にぴったり合っている)はとても良く、虫歯になりにくいです。
高価なようで、実は将来のことを考えた歯を残す治療の第一歩です。
セラミック治療の注意事項(リスク・副作用など)
- 天然歯を削ります
- 硬い素材は天然歯を傷つけてしまう場合があります
- かみ合わせや歯ぎしりが強すぎる方はセラミックが割れてしまう可能性があります
- 自費診療(保険適用外治療)となります
当サイトの内容、テキスト、画像等の無断転載、複製、複写、盗用を固く禁じます。










