症例詳細
Case detail
舌小帯を切りたい 発音を良くしたい
治療症例の内容
- 診療科目
- 治療カテゴリ
- 担当医
- 井上季実子(ドクタープロフィール)
- 患者様
- 40代男性
- 治療期間
- 1ヶ月
- 治療回数
- 1回
- 治療計画
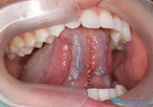
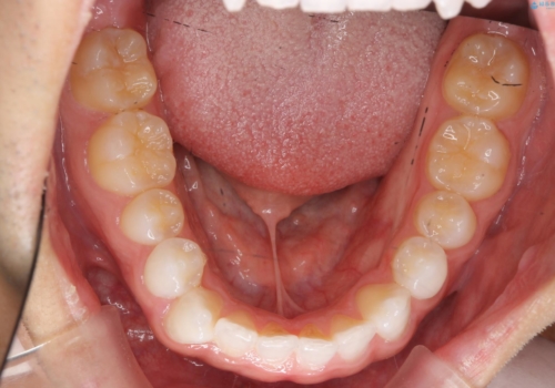
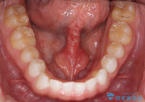
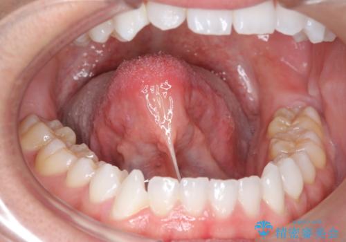
- 舌小帯の切除を希望して来院。
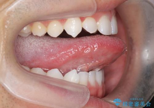
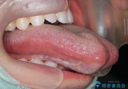
口を大きく開けた時に、上顎に舌がつかない状態でした。
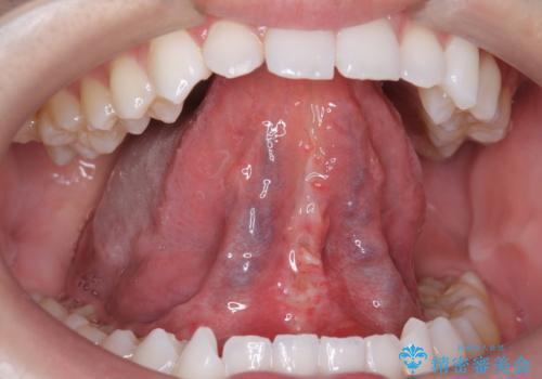
切除後、しっかり上にもつくようになり、前にも大きく出せるようになりました。
- 費用(概算)
- 3.3万円(税込)費用は治療当時の料金となります
治療について
発音については、大人よりも子供の方が効果が期待できますが、舌の可動域が増えるため、おすすめです。た行、ら行などは、舌を上につけないと舌足らずになってしまします。
外科処置の注意事項(リスク・副作用など)
- 外科手術のため、術後に出血、痛みや腫れ、違和感を伴います
- 口腔内の状態によっては適応できないことがあります
当サイトの内容、テキスト、画像等の無断転載、複製、複写、盗用を固く禁じます。












